Delayed encephalopathy after COVID-19: A case series of six patients
- PMID: 36281140
- PMCID: PMC9592135
- DOI: 10.1097/MD.0000000000031029
Delayed encephalopathy after COVID-19: A case series of six patients
Abstract
Rationale: Acute encephalopathy is a severe neurological complication of coronavirus disease 2019 (COVID-19). Most cases of acute encephalopathy associated with COVID-19 occur within several weeks of COVID-19 onset. We describe a case series of 6 patients who developed delayed encephalopathy (DE) after COVID-19.
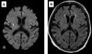
Patient concerns and diagnoses: We evaluated patients who recovered from COVID-19 and showed acute disturbance of consciousness or focal neurological deficits without recurrence of pneumonitis. Six patients, 2 females and 4 males, with ages ranging from 65 to 83 years were included. Durations of hospitalization due to COVID-19 were between 25 and 44 days. The severity of COVID-19 was moderate in 5 and severe in 1 patient. Patients were rehospitalized for acute disturbance of consciousness concomitant with postural tremor and, abnormal behavior, hemiplegia, aphasia, or apraxia between 34 and 67 days after the onset of COVID-19. Chest computed tomography showed no exacerbation of pneumonitis. Brain magnetic resonance imaging showed no specific findings except in 1 patient with an acute lacunar infarction. Electroencephalogram demonstrated diffuse slowing in all patients. Repeat electroencephalogram after recovery from encephalopathy demonstrated normal in all patients. One of the 6 patients had cerebrospinal fluid (CSF) pleocytosis. CSF protein levels were elevated in all patients, ranging from 51 to 115 mg/dL. CSF interleukin-6 levels ranged from 2.9 to 10.9 pg/mL. The immunoglobulin index was 0.39 to 0.44. Qlim(alb) < QAlb indicating dysfunction of the blood-brain barrier was observed in all patients. Severe acute respiratory syndrome coronavirus 2 reverse transcription polymerase chain reaction of CSF was negative in all patients. Neuronal autoantibodies were absent in serum and CSF.
Interventions and outcomes: Immunotherapy including steroid pulses was administered to 3 patients; however, symptoms of encephalopathy resolved within several days in all patients, regardless of treatment with immunotherapy, and their consciousness levels were recovered fully. Notably, postural tremor remained for 2 weeks to 7 months.
Lessons: In our patients, DE after COVID-19 was characterized by symptoms of acute encephalopathy accompanied with tremor in the absence of worsening pneumonitis after the fourth week of COVID-19 onset. Our findings indicate blood-brain barrier dysfunction may contribute to the pathogenesis of DE after COVID-19.
Copyright © 2022 the Author(s). Published by Wolters Kluwer Health, Inc.
Conflict of interest statement
The authors have no conflicts of interest to disclose.
Figures
References
-
- Garg RK, Paliwal VK, Gupta A. Encephalopathy in patients with COVID-19: a review. J Med Virol. 2021;93:206–22. - PubMed
Publication types
MeSH terms
Substances
LinkOut - more resources
Full Text Sources
Medical
Miscellaneous
