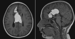
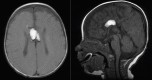
[Atypical growth of an intracranial lipoma]
- PMID: 36285449
- PMCID: PMC10280707
- DOI: 10.33588/rn.7509.2022228
[Atypical growth of an intracranial lipoma]
Abstract
Crecimiento atípico en un lipoma intracraneal.
Conflict of interest statement
Conflicto de intereses: Los autores declaran no tener conflictos de intereses. También declaran estar en posesión de un consentimiento informado de padres o tutores explicitando su permiso para la publicación tanto del texto del artículo como de sus imágenes. Se han seguido los protocolos establecidos por nuestro centro sanitario para acceder a los datos de las historias clínicas.
Figures
References
-
- Gradowska K, Czech-Kowalska J, Jurkiewicz E, Komornicka J, Dobrzan´ska A. Lipomas of the central nervous system in the newborns –a report of eight cases. Pol J Radiol 2011;76:63-8. - PMC - PubMed
- Gradowska K, Czech-Kowalska J, Jurkiewicz E, Komornicka J, Dobrzan´ska A. Lipomas of the central nervous system in the newborns –a report of eight cases. Pol J Radiol. 2011;76:63–8. - PMC - PubMed
-
- Gómez-Gosálvez FA, Menor-Serrano F, Téllez de Meneses-Lorenzo M, Aleu Pérez-Gramunt M, Sala-Sánchez AG, Rubio-Soriano A. Lipomas intracraneales en pediatría:estudio retrospectivo de 20 pacientes. Rev Neurol 2003;37:515-21. - PubMed
- Gómez-Gosálvez FA, Menor-Serrano F, Téllez de Meneses-Lorenzo M, Aleu Pérez-Gramunt M, Sala-Sánchez AG, Rubio-Soriano A. Lipomas intracraneales en pediatría:estudio retrospectivo de 20 pacientes. Rev Neurol. 2003;37:515–21. - PubMed
Publication types
MeSH terms
LinkOut - more resources
Full Text Sources
Medical
