Juvenile psammomatoid ossifying fibroma in paranasal sinuses: A case report and literature review
- PMID: 36324855
- PMCID: PMC9619332
- DOI: 10.1016/j.radcr.2022.09.094
Juvenile psammomatoid ossifying fibroma in paranasal sinuses: A case report and literature review
Abstract
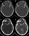
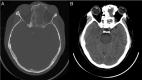
Juvenile psammomatoid ossifying fibroma (JPOF) is a rare, benign type of ossifying fibroma. JPOFs predominantly present as rapidly growing masses with a high recurrence rate. We report a 40-year-old male patient who suffered from a large tumor with multiple invasions into the paranasal sinuses. Total excision was performed, and significant relief of clinical symptoms was recorded after 4 months of follow-up. Multi-departmental management involving radiologists, neurology surgeons, craniofacial surgeons, pathologists, and otolaryngologists is vital for JPOF treatment. First-line treatment options include total or partial resection, depending on the patient's condition.
Keywords: Computed tomography; Juvenile psammomatoid ossifying fibroma; Magnetic resonance imaging; Paranasal sinuses.
© 2022 The Authors. Published by Elsevier Inc. on behalf of University of Washington.
Figures




References
-
- El-Naggar A.K., Chan J.K.C., Grandis J.R., Takata T., Slootweg P.J. 4th ed. 2017. WHO classification of head and neck tumours; pp. 251–253.
Publication types
LinkOut - more resources
Full Text Sources