Skip to main page content
U.S. flag

An official website of the United States government

Dot gov

The .gov means it’s official.
Federal government websites often end in .gov or .mil. Before sharing sensitive information, make sure you’re on a federal government site.

Https

The site is secure.
The https:// ensures that you are connecting to the official website and that any information you provide is encrypted and transmitted securely.

Access keys NCBI Homepage MyNCBI Homepage Main Content Main Navigation
Case Reports
. 2022 Sep 30;14(9):e29774.
doi: 10.7759/cureus.29774. eCollection 2022 Sep.

Choledochal Cyst in Pregnancy: A Case Report

Affiliations
Case Reports

Choledochal Cyst in Pregnancy: A Case Report

Ahmed I Elmasry et al. Cureus. .

Abstract

Choledochal cyst is a rare congenital malformation of the biliary tree. It can be present in various locations along the biliary tree. The diagnosis of choledochal cyst during pregnancy can be challenging for clinicians due to its atypical presentation. In this case report, we discuss a case of a female patient who presented in the third trimester. She was misdiagnosed with cholecystitis and was treated medically. She underwent emergency lower segment cesarean section (LSCS) and was then discharged. The patient later presented with the same symptoms and was diagnosed with choledochal cyst type IVA. She underwent percutaneous drainage and improved. The patient had to deliver the baby prematurely due to the late diagnosis and thus late treatment. In order to avoid the recurrence of those events, physicians should be familiar with the presentation of a choledochal cyst and should subsequently use the proper imaging modalities such as MRI more frequently in pregnant patients with such presentation, which will result in an early diagnosis and prevent the maternal and fetal complications.

Keywords: cholecystitis; choledochal cyst; gall bladder disease; pregnancy; type iv a.

PubMed Disclaimer

Conflict of interest statement

The authors have declared that no competing interests exist.

Figures

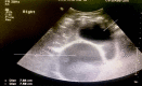
Figure 1
Figure 1. Abdominal ultrasound
The short white arrow shows the distended gallbladder, and the long white arrow shows the cyst measuring about 7.8 x 7.6 cm.
Figure 2
Figure 2. (A) Coronal view: The long arrow white shows a choledochal cyst (type IVA). (B) Sagittal view: The long white arrow shows a choledochal cyst (type IVA), and the short arrow shows CBD 12 x 8.7 x 10 cm (RL x AP x CC).
CBD: Common bile duct.

References

    1. Giant choledochal cyst presenting during third trimester of pregnancy. Morales-Maza J, Rodríguez-Quintero JH, Cortés-Vázquez S, Cruz-Benítez L. https://www.ncbi.nlm.nih.gov/pmc/articles/PMC6011477/ BMJ Case Rep. 2018;2018:0. - PMC - PubMed
    1. Congenital choledochal cyst, with a report of 2, and an analysis of 94, cases. Alonso-lej F, Rever WB Jr, Pessagno DJ. https://pubmed.ncbi.nlm.nih.gov/13625059/ Int Abstr Surg. 1959;108:1–30. - PubMed
    1. Congenital bile duct cysts: classification, operative procedures, and review of thirty-seven cases including cancer arising from choledochal cyst. Todani T, Watanabe Y, Narusue M, Tabuchi K, Okajima K. https://pubmed.ncbi.nlm.nih.gov/889044/ Am J Surg. 1977;134:263–269. - PubMed
    1. Choledochal cyst during pregnancy: the patient's first pregnancy was complicated by a congenital anomaly. Conway WC, Campos GM, Gagandeep S. Am J Obstet Gynecol. 2009;200:588–582. - PubMed
    1. Bile duct cysts: a changing spectrum of presentation. Gigot JF, Nagorney DM, Farnell MB, Moir C, Ilstrup D. J Hepatobiliary Pancreat Surg. 1996;3:405–411.

Publication types

LinkOut - more resources