Bilateral Lupus Chorioretinopathy in a Patient With Active Systemic Lupus Erythematosus
- PMID: 36381826
- PMCID: PMC9640358
- DOI: 10.7759/cureus.30081
Bilateral Lupus Chorioretinopathy in a Patient With Active Systemic Lupus Erythematosus
Abstract
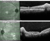
Ocular involvement is commonly seen in systemic lupus erythematosus (SLE). However, chorioretinopathy is an easily missed ocular manifestation of SLE. Early recognition and a multidisciplinary treatment approach can play a key role in reducing the ocular and systemic morbidity seen with this condition. This case report describes a patient with active SLE who presented with bilateral lupus chorioretinopathy. The patient demonstrated a significant improvement in ocular symptoms once the systemic disease was controlled.
Keywords: chorioretinopathy; choroidopathy; lupus; ocular manifestations; retinopathy; serous retinal detachment; systemic lupus erythematosus.
Copyright © 2022, David et al.
Conflict of interest statement
The authors have declared that no competing interests exist.
Figures






References
-
- García-Carrasco M, Pinto MC, Poblano JCS, Morales IE, Cervera R, Anaya JM. Autoimmunity: From Bench to Bedside. Vol. 1. Bogota, Colombia: El Rosario University Press; 2013. Systemic lupus erythematosus; p. 25. - PubMed
-
- Ocular manifestations in systemic lupus erythematosus. Silpa-archa S, Lee JJ, Foster CS. Br J Ophthalmol. 2016;100:135–141. - PubMed
Publication types
LinkOut - more resources
Full Text Sources