Granulomatous tracheo-bronchitis from Crohn's disease
- PMID: 36382025
- PMCID: PMC9644359
- DOI: 10.1002/rcr2.1056
Granulomatous tracheo-bronchitis from Crohn's disease
Abstract
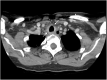
Tracheo-bronchitis is an uncommon but important extra-intestinal manifestation of Crohn's disease. Our case demonstrates radiological and bronchoscopic evidence of tracheo-bronchitis secondary to Crohn's disease with pathology-proven granulomatous inflammation. This case highlights the importance of investigating airway involvement in patients with Crohn's disease and new respiratory symptoms.
Keywords: Crohn's; bronchoscopy and interventional techniques; granulomatous tracheobronchitis; inflammatory bowel disease; tracheobronchitis.
© 2022 The Authors. Respirology Case Reports published by John Wiley & Sons Australia, Ltd on behalf of The Asian Pacific Society of Respirology.
Conflict of interest statement
None declared.
Figures
References
LinkOut - more resources
Full Text Sources
