Adenocarcinoma Metastasis from Colon to the Thyroid
- PMID: 36386437
- PMCID: PMC9663209
- DOI: 10.1155/2022/8705143
Adenocarcinoma Metastasis from Colon to the Thyroid
Abstract
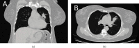
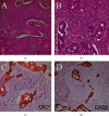
Background: Colorectal cancer metastasis to the thyroid is extremely rare and happens in the late course of the disease. Case Description. Here is the report of a 55-year-old female patient who came to us with the chief complaint of cough, diagnosed with colon metastasize to the lung. Surgical resection of the mass was performed. However, a thyroid mass was found incidentally in her postoperative follow-up. Fine needle aspiration of thyroid mass showed papillary thyroid carcinoma. But, after thyroidectomy, the origin of the mass was reported to be adenocarcinoma metastasis from colon cancer.
Conclusion: Although thyroid metastasis from colorectal cancer rarely occurs, it should be considered in a patient with a solitary thyroid nodule and a past medical history of colon cancer. Surgical treatment is the preferred choice of treatment in these cases.
Copyright © 2022 Parviz Mardani et al.
Conflict of interest statement
The authors declare that they have no competing interests.
Figures





References
Publication types
LinkOut - more resources
Full Text Sources
Miscellaneous