Brown-Sequard syndrome associated with a spinal cord injury caused by a retained screwdriver: A case report and literature review
- PMID: 36447879
- PMCID: PMC9699854
- DOI: 10.25259/SNI_957_2022
Brown-Sequard syndrome associated with a spinal cord injury caused by a retained screwdriver: A case report and literature review
Abstract
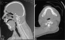
Background: Nonmissile penetrating spine injury (NMPSI) represents a small percent of spinal cord injuries (SCIs), estimated at 0.8% in Western countries. Regarding the causes, an NMPSI injury caused by a screwdriver is rare. This study reports a case of a retained double-headed screwdriver in a 37-year-old man who sustained a stab injury to the back of the neck, leaving the patient with a C4 Brown-Sequard syndrome (BSS). We discuss the intricacies of the surgical management of such cases with a literature review.
Methods: PubMed database was searched by the following combined formula of medical subjects headings, (MESH) terms, and keywords: (((SCIs [MeSH Terms]) OR (nmpsi [Other Term]) OR (nonmissile penetrating spinal injury [Other Term]) OR (nonmissile penetrating spinal injury [Other Term])) AND (BSS [MeSH Terms])) OR (BSS [MeSH Terms]).
Results: A total of 338 results were found; 258 were case reports. After excluding nonrelated cases, 16 cases were found of BSS induced by spinal cord injury by a retained object. The male-to-female ratio in these cases is 11:5, and ages ranged from 11 to 72. The causes of spinal cord injury included screwdrivers in three cases, knives in five cases, and glass in three cases. The extracted data were analyzed.
Conclusion: Screwdriver stabs causing cervical SCIs are extremely rare. This is the first case from Iraq where the assault device is retained in situ at the time of presentation. Such cases should be managed immediately to carefully withdraw the object under direct vision and prevent further neurological deterioration.
Keywords: Brown-Sequard syndrome; Retained foreign body; Screwdriver; Spinal cord injury.
Copyright: © 2022 Surgical Neurology International.
Conflict of interest statement
There are no conflicts of interest
Figures




References
-
- Amendola L, Corghi A, Cappuccio M, De Iure F. Two cases of Brown-Séquard syndrome in penetrating spinal cord injuries. Eur Rev Med Pharmacol Sci. 2014;18:2–7. - PubMed
-
- Bhatoe HS. Stabbed in the back. Indian J Neurotrauma. 2007;4:9–10.
Publication types
LinkOut - more resources
Full Text Sources
Miscellaneous