Skip to main page content
U.S. flag

An official website of the United States government

Dot gov

The .gov means it’s official.
Federal government websites often end in .gov or .mil. Before sharing sensitive information, make sure you’re on a federal government site.

Https

The site is secure.
The https:// ensures that you are connecting to the official website and that any information you provide is encrypted and transmitted securely.

Access keys NCBI Homepage MyNCBI Homepage Main Content Main Navigation
Case Reports
. 2022 Nov 19;14(11):e31665.
doi: 10.7759/cureus.31665. eCollection 2022 Nov.

Non-Functioning Adrenocortical Carcinoma Presenting as Retroperitoneal Hemorrhage With Early Metastasis

Affiliations
Case Reports

Non-Functioning Adrenocortical Carcinoma Presenting as Retroperitoneal Hemorrhage With Early Metastasis

Zabih Ullah Khan et al. Cureus. .

Abstract

Adrenocortical cancer is a rare neoplasm with varied clinical presentation and overall poor outcome. This should be managed with timely intervention at highly specialized centers. Our aim is to report this rare case presentation of large non-functional adrenocortical cancer, complicated by spontaneous rupture while awaiting workup leading to life-threatening hemorrhage. Despite successful emergency radical surgical management and achieving negative margins, the patient developed early recurrence as intra-abdominal metastasis within two months. This can likely be attributed to the aggressive nature of the tumor as indicated by the high Ki-67 index or spillage of the tumor cells following spontaneous rupture. We recommend managing these non-functioning adrenocortical cancers as early as possible at highly specialized centers with reference to published standard guidelines.

Keywords: early recurrence; non functioning adrenocortical cancer; retroperitoneal haemorrhage; spontaneous rupture; surgery.

PubMed Disclaimer

Conflict of interest statement

The authors have declared that no competing interests exist.

Figures

Figure 1
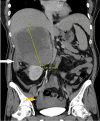
Figure 1. CT scan abdomen (coronal view) from the referring center
The image shows an intact, well-defined large adrenal mass (white arrow) with central hypo density and heterogenous contrast enhancement, it shows a compression effect on the right kidney and liver. There are no obvious intra-abdominal metastases.
Figure 2
Figure 2. CT scan abdomen (sagittal view) from the referring center
The image is showing the adrenal tumor (white arrow) with a maximum dimension of 15 cm.
Figure 3
Figure 3. CT scan abdomen (sagittal view) obtained at the emergency department
showing tumor rupture with retroperitoneal hemorrhage (white arrow)
Figure 4
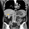
Figure 4. CT scan abdomen (coronal view) obtained at the emergency department
The image is showing retro-peritoneal (white arrow) and intraperitoneal (yellow arrow) hemorrhage from the tumor.
Figure 5
Figure 5. Initial CT scan chest (sagittal view)
The image is showing a tiny suspicious right lung lesion (black arrow).
Figure 6
Figure 6. Emergency angiogram
The image is showing suprarenal mass and feeding vessels: adrenal artery from right renal artery (white arrow), direct feeding branch from superior renal vessels (black arrow). There was no active bleeding at the time of the angiogram.
Figure 7
Figure 7. Post-operative CT scan (coronal view) at the one-month follow-up
The image is showing clips at the surgical bed (yellow arrow) with no evidence of recurrence or metastases.
Figure 8
Figure 8. Post-operative CT scan (sagittal view) one month
The follow-up image is showing clips at the surgical bed (yellow arrow) with no evidence of recurrence.
Figure 9
Figure 9. Post-operative CT scan (coronal view) on two-month follow-up
The image is showing the progression of a previously noted lung nodule (black arrow).
Figure 10
Figure 10. Post-operative CT scan (coronal view) on two-month follow-up
The image is showing local intra-abdominal recurrence (yellow arrows).

References

    1. Extent of disease at presentation and outcome for adrenocortical carcinoma: have we made progress? Kebebew E, Reiff E, Duh QY, Clark OH, McMillan A. World J Surg. 2006;30:872–878. - PubMed
    1. Adrenocortical carcinoma: a population-based study on incidence and survival in the Netherlands since 1993. Kerkhofs TM, Verhoeven RH, Van der Zwan JM, et al. Eur J Cancer. 2013;49:2579–2586. - PubMed
    1. Adrenocortical carcinoma. Else T, Kim AC, Sabolch A, et al. Endocr Rev. 2014;35:282–326. - PMC - PubMed
    1. Clinical review: adrenocortical carcinoma: clinical update. Allolio B, Fassnacht M. J Clin Endocrinol Metab. 2006;91:2027–2037. - PubMed
    1. Adrenal artery embolization: anatomy, indications, and technical considerations. Fowler AM, Burda JF, Kim SK. AJR Am J Roentgenol. 2013;201:190–201. - PubMed

Publication types

LinkOut - more resources