Treatment of Open Traumatic Medial Malleolus Bone Loss With Osteochondral Allograft: A Case Report
- PMID: 36569735
- PMCID: PMC9771574
- DOI: 10.7759/cureus.31755
Treatment of Open Traumatic Medial Malleolus Bone Loss With Osteochondral Allograft: A Case Report
Abstract
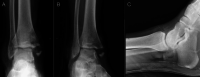
Osteochondral damage to the ankle joint can be a difficult problem to manage in a young active patient. There are several described surgical treatments ranging from cartilage repair techniques to arthrodesis and ankle replacement. In this case, we present a 28-year-old male who sustained a right type IIIA open medial malleolus fracture following an all-terrain vehicle crash. After sharp debridement, the clinical decision was made to treat the patient with an osteochondral allograft. At one- and two-year post-allograft reconstruction, radiographs demonstrated good incorporation of the graft. The patient was ambulating with no pain or assistive devices. Our case report specifically describes the successful treatment of a traumatic medial malleolus ankle fracture with bone loss using an osteochondral allograft in a young active patient.
Keywords: ankle arthritis; ankle trauma; bone loss; fresh osteochondral allograft; medial malleolus; type iiia open medial malleolus fracture.
Copyright © 2022, Anderson et al.
Conflict of interest statement
The authors have declared that no competing interests exist.
Figures







References
-
- Fresh-frozen osteochondral allograft reconstruction of a giant cell tumor of the talus. Schoenfeld AJ, Leeson MC, Grossman JP. J Foot Ankle Surg. 2007;46:144–148. - PubMed
-
- Ankle fracture epidemiology in the United States: patient-related trends and mechanisms of injury. Scheer RC, Newman JM, Zhou JJ, et al. J Foot Ankle Surg. 2020;59:479–483. - PubMed
-
- Medial malleolar fractures: current treatment concepts. Carter TH, Duckworth AD, White TO. Bone Joint J. 2019;101-B:512–521. - PubMed
Publication types
LinkOut - more resources
Full Text Sources