Epidemiology of MRI-detected muscle injury in athletes participating in the Tokyo 2020 Olympic Games
- PMID: 36588405
- PMCID: PMC9933160
- DOI: 10.1136/bjsports-2022-105827
Epidemiology of MRI-detected muscle injury in athletes participating in the Tokyo 2020 Olympic Games
Abstract
Objective: Muscle injury is one of the most common injuries occurring at the Olympic Games often with devastating consequences. Epidemiological injury surveillance is recognised by the IOC as essential for injury prevention and management. We aimed to describe the incidence, anatomical location and classification of MRI-detected muscle injuries in athletes who participated in the Tokyo 2020 Olympic Games.
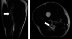
Methods: Two board-certified orthopaedic surgeons, highly experienced in reviewing MRIs, independently and retrospectively reviewed all MRIs collected at the Tokyo 2020 Olympic Games from clinical reports generated by board-certified musculoskeletal radiologists at the IOC Polyclinic. The presence and anatomical site of muscle injuries were classified as: type a: myofascial/peripheral; type b: muscle belly or musculotendinous junction; and type c: injury which extends into the tendon, with reference to the British Athletics Muscle Injury Classification.
Results: Fifty-nine MRI-detected muscle injuries were seen in 40 male and 19 female athletes. 24 athletes (41%) were unable to fully compete in their event. Fifty-two injuries (88%) involved lower extremity muscles with hamstring muscle injuries most common (32 of 59, 54%). Half of all muscle injuries occurred in athletes participating in athletics (30 of 59, 51%). 21 athletes (35%) sustained type a injuries, 14 athletes (24%) type b injuries and 24 athletes (41%) type c injuries. Of athletes with type c injuries, 18 (75%) did not complete their competition, a rate significantly higher than types a and b (OR 14.50, 95% CI 4.0 to 51.9, p<0.001).
Conclusion: For athletes sustaining muscle injuries during the Olympic Games, our study demonstrates the prognostic relevance of muscle injury anatomical site and severity for predicting completion or non-completion of an Olympic athlete's competition.
Keywords: Magnetic Resonance Imaging; epidemiology; muscle.
© Author(s) (or their employer(s)) 2022. Re-use permitted under CC BY-NC. No commercial re-use. See rights and permissions. Published by BMJ.
Conflict of interest statement
Competing interests: KO receives royalties from Springer Co for a book titled 'Tendinopathy'.
Figures



References
-
- Edouard P, Navarro L, Branco P, et al. . Injury frequency and characteristics (location, type, cause and severity) differed significantly among athletics ('track and field') disciplines during 14 international championships (2007-2018): implications for medical service planning. Br J Sports Med 2020;54:159–67. 10.1136/bjsports-2019-100717 - DOI - PubMed
LinkOut - more resources
Full Text Sources