Traumatic divergent dislocation of the elbow in the adults
- PMID: 36622400
- PMCID: PMC9931842
- DOI: 10.1007/s00264-022-05679-5
Traumatic divergent dislocation of the elbow in the adults
Abstract
Purpose: This retrospective study aimed to investigate the clinical outcomes of DDE in adults.
Methods: From September 2010 to March 2020, adult patients with traumatic DDEs admitted to Beijing Chaoyang Hospital and Beijing Jishuitan Hospital were included in this study. Each patient underwent operative or conservative treatment during hospitalization. The clinical and radiological examinations were followed up. The primary outcomes included the Mayo Modified Wrist Score (MMWS), the Mayo Elbow Performance Score (MEPS), the Broberg and Morrey functional index, the Disabilities of the Arm, Shoulder and Hand (DASH) score, and the Visual Analogue Scale (VAS) score that were performed. Post-operative complications and secondary surgery details were also collected.
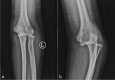
Results: Of the fourteen patients, clinical and radiographic results were reviewed at a mean of 53.2 months (18 to 110 months) postoperatively. There were 11 men and three women with an average age of 31.5 years (17 to 51 years). At the final follow-up, the average MMWS, MEPS, Broberg and Morrey functional index, and DASH scores were 91.4 points, 93.4 points, 92.6 points, and 10.7 points. The mean VAS at rest and during activities was 0.4 and 1.7 points. Two patients required a secondary procedure due to radial malalignment and elbow contracture, respectively. In addition, two patients were found degeneration.
Conclusions: Within the context of high-energy DDE combined with simultaneous upper limb injuries, our study recommended obtaining the mechanical benefit of the forearm ring with concentric elbow stability. Despite the various and complicated traumatic patterns of DDE, great clinical results could be acquired based on adequate surgical treatments and early rehabilitation training.
Keywords: Divergent dislocation of the elbow; Fracture-dislocation of the forearm; The adults, DASH, Multiple injuries; Trauma.
© 2023. The Author(s).
Conflict of interest statement
The authors declare no competing interests.
Figures
References
-
- Laratta JL, Yoon RS, Frank MA, Koury K, Donegan DJ, Liporace FA. Divergent elbow dislocation with radial shaft fracture, distal ulnar deformation, and distal radioulnar joint instability: an unclassifiable Monteggia variant. J Orthop Traumatol. 2014;15(1):63–67. doi: 10.1007/s10195-013-0239-x. - DOI - PMC - PubMed
MeSH terms
LinkOut - more resources
Full Text Sources
Medical
