Intraocular Lymphoma: When to Suspect a Sinister Cause of Ocular Haemorrhage
- PMID: 36632538
- PMCID: PMC9829020
- DOI: 10.12890/2022_003622
Intraocular Lymphoma: When to Suspect a Sinister Cause of Ocular Haemorrhage
Abstract
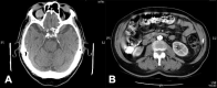
Intraocular lymphoma (IOL) is a rare and life-threatening condition whose aetiology is unclear. Blurred vision, reduced vision, and floaters are common initial symptoms. Posterior vitreous detachment and haemorrhage rarely occur. The authors present the case of a 79-year-old man who initially presented with a 3-month history of fever, night sweats, significant weight loss, bilateral peri-orbital haematoma, red eyes and retro-orbital headache. Physical examination revealed fever, bilateral peri-orbital haematoma, subconjunctival haemorrhage and palpable cervical lymphadenopathy. CT scans detected conical intra-orbital lesions, cervical adenomegalies, expansive lesions in the adrenal glands, and thrombosis of the splenomesenteric confluent and posterior segment of the right branch of the portal vein. These findings were suggestive of a lymphoproliferative disorder. Aspiration cytology of the adrenal mass and inguinal adenopathies was compatible with diffuse large B-cell lymphoma with areas of transformation to Burkitt's lymphoma. We describe a rare form of lymphoma, and a very unusual presentation of primary intraocular lymphoma with atypical symptoms.
Learning points: Intraocular lymphoma is a rare disease and can mimic common infectious or non-infectious uveitis.Bleeding or periocular haematoma are suggestive of intraocular lymphoma.
Keywords: Intraocular lymphoma; adrenal mass; ocular haemorrhage.
© EFIM 2022.
Conflict of interest statement
Conflicts of Interests: The authors declare there are no competing interests.
Figures


References
-
- Chaput F, Amer R, Baglivo E, Touitou V, Kozyreff A, Bron D, et al. Intraocular T-cell lymphoma: clinical presentation, diagnosis, treatment, and outcome. Ocul Immunol Inflamm. 2017;25(5):644–653. - PubMed
-
- Karakawa A, Taoka K, Kaburaki T, Tanaka R, Shinozaki-Ushiku A, Hayashi H, et al. Clinical features and outcomes of secondary intraocular lymphoma. Br J Haematol. 2018;183(4):668–671. - PubMed
-
- Touhami S, Audo I, Terrada C, Gaudric A, LeHoang P, Touitou V, et al. Neoplasia and intraocular inflammation: from masquerade syndromes to immunotherapy-induced uveitis. Prog Retin Eye Res. 2019;72:100761. - PubMed
-
- Sagoo MS, Mehta H, Swampillai AJ, Cohen VM, Amin SZ, Plowman PN, et al. Primary intraocular lymphoma. Surv Ophthalmol. 2014;59(5):503–516. - PubMed
LinkOut - more resources
Full Text Sources