Multiple system atrophy-cerebellar: A case report and literature review
- PMID: 36660581
- PMCID: PMC9842541
- DOI: 10.1016/j.radcr.2022.12.046
Multiple system atrophy-cerebellar: A case report and literature review
Abstract
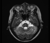
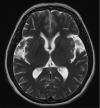
We reported a case of a 48-year-old female patient admitted to the hospital due to balance disorder which progressed rapidly within 1 week. Cerebral magnetic resonance imaging showed significant atrophy and hyperintensities at the middle cerebellar peduncles and the "hot cross bun" sign of the pons. The final diagnosis was probable multiple system atrophy, cerebellar subtype. The clinical and imaging findings will be discussed as well as a brief literature review.
Keywords: MRI; Multiple system atrophy; Neuroradiology.
© 2022 The Authors. Published by Elsevier Inc. on behalf of University of Washington.
Figures




References
Publication types
LinkOut - more resources
Full Text Sources