Adult Acquired Flatfoot Deformity: A Narrative Review about Imaging Findings
- PMID: 36673035
- PMCID: PMC9857373
- DOI: 10.3390/diagnostics13020225
Adult Acquired Flatfoot Deformity: A Narrative Review about Imaging Findings
Abstract
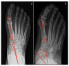
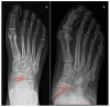
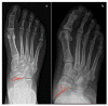
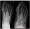
Adult acquired flatfoot deformity (AAFD) is a disorder caused by repetitive overloading, which leads to progressive posterior tibialis tendon (PTT) insufficiency. It mainly affects middle-aged women and occurs with foot pain, malalignment, and loss of function. After clinical examination, imaging plays a key role in the diagnosis and management of this pathology. Imaging allows confirmation of the diagnosis, monitoring of the disorder, outcome assessment and complication identification. Weight-bearing radiography of the foot and ankle are gold standard for the diagnosis of AAFD. Magnetic Resonance Imaging (MRI) is not routinely needed for the diagnosis; however, it can be used to evaluate the spring ligament and the degree of PTT damage which can help to guide surgical plans and management in patients with severe deformity. Ultrasonography (US) can be considered another helpful tool to evaluate the condition of the PTT and other soft-tissue structures. Computed Tomography (CT) provides enhanced, detailed visualization of the hindfoot, and it is useful both in the evaluation of bone abnormalities and in the accurate evaluation of measurements useful for diagnosis and post-surgical follow-up. Other state-of-the-art imaging examinations, like multiplanar weight-bearing imaging, are emerging as techniques for diagnosis and preoperative planning but are not yet standardized and their scope of application is not yet well defined. The aim of this review, performed through Pubmed and Web of Science databases, was to analyze the literature relating to the role of imaging in the diagnosis and treatment of AAFD.
Keywords: adult acquired flatfoot deformity; foot and ankle; imaging; posterior tibial tendon; progressive collapsing foot deformity; weight bearing CT.
Conflict of interest statement
The authors declare no conflict of interest.
Figures












References
-
- de Cesar Netto C., Myerson M.S., Day J., Ellis S.J., Hintermann B., Johnson J.E., Sangeorzan B.J., Schon L.C., Thordarson D.B., Deland J.T. Consensus for the Use of Weightbearing CT in the Assessment of Progressive Collapsing Foot Deformity. Foot Ankle Int. 2020;41:1277–1282. doi: 10.1177/1071100720950734. - DOI - PubMed
Publication types
LinkOut - more resources
Full Text Sources