Extraskeletal Ewing sarcoma of the stomach: A rare case report
- PMID: 36687198
- PMCID: PMC9846993
- DOI: 10.12998/wjcc.v11.i1.201
Extraskeletal Ewing sarcoma of the stomach: A rare case report
Abstract
Background: Extraskeletal Ewing sarcoma (EES) is a rare and highly malignant small round cell tumor associated with a poor clinical outcome. Ewing sarcoma (ES) involving the stomach is an uncommon presentation and can be easily confused with other small round cell tumors. We herein present a rare case of ES involving the gastric area.
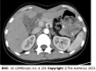
Case summary: We report a case of gastric ES in a 19-year-old female patient who initially presented with a complaint of a tender epigastric mass for 5 d. Contrast-enhanced abdominal computed tomography revealed a soft-tissue-density mass with a diameter of 8.5 cm between the liver and stomach; the mass was connected to the gastric antrum. Then, the mass was surgically excised completely. Upon histopathological, immunophenotype and molecular analysis, the mass was identified to be a primary gastric ES.
Conclusion: EES is an aggressive tumor with poor prognosis. Therefore, early diagnosis and timely intervention are essential for a good prognosis. It is imperative for us to raise awareness about this rare tumor. Surgical resection is still the best treatment option.
Keywords: CD99; Case report; Ewing’s sarcoma; Extraskeletal; FLI-1; Stomach neoplasms.
©The Author(s) 2023. Published by Baishideng Publishing Group Inc. All rights reserved.
Conflict of interest statement
Conflict-of-interest statement: The authors declare that they have no conflict of interest to disclose.
Figures
References
-
- Lewis TB, Coffin CM, Bernard PS. Differentiating Ewing's sarcoma from other round blue cell tumors using a RT-PCR translocation panel on formalin-fixed paraffin-embedded tissues. Mod Pathol. 2007;20:397–404. - PubMed
-
- Brasme JF, Chalumeau M, Oberlin O, Valteau-Couanet D, Gaspar N. Time to diagnosis of Ewing tumors in children and adolescents is not associated with metastasis or survival: a prospective multicenter study of 436 patients. J Clin Oncol. 2014;32:1935–1940. - PubMed
-
- Hopp AC, Nguyen BD. Gastrointestinal: Multi-modality imaging of extraskeletal Ewing sarcoma of the stomach. J Gastroenterol Hepatol. 2019;34:1273. - PubMed
Publication types
LinkOut - more resources
Full Text Sources
