Bilateral giant Becker's nevus
- PMID: 36697336
- PMCID: PMC9984696
- DOI: 10.1016/j.abd.2021.05.024
Bilateral giant Becker's nevus
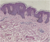
Figures
References
-
- Danarti R., Konig A., Salhi A., Bittar M., Happle R. Becker’s nevus syndrome revisited. J Am Acad Dermatol. 2004;51:965–969. - PubMed
-
- Happle R., Koopman R.J. Becker nevus syndrome. Am J Med Genet. 1997;68:357–361. - PubMed
-
- Cai E.D., Sun B.K., Chiang A., Rogers A., Bernet L., Cheng B., et al. Postzygotic Mutations in Beta-Actin Are Associated with Becker’s Nevus and Becker’s Nevus Syndrome. J Invest Dermatol. 2017;137:1795–1798. - PubMed
-
- Antunes-Duarte S., Bouceiro-Mendes R., Fraga A., Soares-de-Almeida L. One person, two bilateral symmetrical giant Becker nevi. Dermatol Online J. 2020;26 13030/qt44x2j7nr. - PubMed
Publication types
MeSH terms
LinkOut - more resources
Full Text Sources
Medical
