When tissue is not the only issue: Poorly differentiated lung squamous-cell carcinoma with adrenal, costochondral, and cardiac metastases - case report
- PMID: 36761964
- PMCID: PMC9902933
- DOI: 10.3389/fonc.2023.1117024
When tissue is not the only issue: Poorly differentiated lung squamous-cell carcinoma with adrenal, costochondral, and cardiac metastases - case report
Abstract
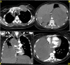
Nonmelanoma skin cancer is the most common cancer in the world, and lung cancer is the leading cause of death from cancer. Histologically, squamous cell carcinoma (SCC) is the second most prevalent type of both skin and lung cancers. We report the case of a 38-year-old female with metastatic, poorly differentiated lung SCC detected on chest X-ray after she presented to the hospital with cough and dyspnea. She had had a 7.5 cm moderately differentiated well-circumscribed posterior scalp SCC completely excised eight years earlier. CT scan showed a large right lung mass, nodular filling defect in the left atrium (LA), and metastases to the adrenal glands and the first rib. Her pulmonary tumor extends to the LA via the right superior pulmonary vein, which is rarely reported in the literature. Ultrasound-guided biopsy of the rib mass showed poorly differentiated SCC. The patient received urgent radiotherapy, given superior vena cava and mainstem bronchus compression. Head CT showed no brain metastasis. A biopsy of the left adrenal initially reported an undifferentiated pleomorphic sarcoma; however, a second pathologist reported it as a poorly differentiated carcinoma of lung origin. At least three pathologists verified the specimen, and it had a PD-L1 test with a 1-49% score. An initial echocardiogram confirmed the LA mass. The patient received a Paclitaxel-Carboplatin-Pembrolizumab regimen as the first-line treatment for metastatic SCC. A repeat echocardiogram after cycle 1 showed a decrease in the size of the tumor in the LA. Almost five months after her initial visit, this young woman's symptoms and performance status have improved post-palliative radiotherapy and chemo-immunotherapy. Follow-up CT showed smaller lung, nodal, adrenal, and costochondral masses, and evidence of necrosis. This case is clinically relevant because it represents a common problem presenting uncommonly. Moreover, it highlights that ultrasound-guided interventions and medical imaging are essential in directing metastatic cancer diagnosis, treatment, and follow-up, especially when pathology cannot confirm but only presume a specific diagnosis.
Keywords: cardiac imaging techniques; cardiac tumors; computed tomography (CT) scan; echocardiography; non-small cell lung cancer (NSCLC); squamous cell carcinoma (SCC); ultrasound-guided biopsy; undifferentiated pleomorphic sarcoma (UPS).
Copyright © 2023 Clark, Griborio-Guzman, Burute, Lubbers, Anthes, Sadreddini and Aseyev.
Conflict of interest statement
The authors declare that the research was conducted in the absence of any commercial or financial relationships that could be construed as a potential conflict of interest.
Figures




References
-
- Firnhaber JM. Diagnosis and treatment of basal cell and squamous cell carcinoma. Am Fam Physician (2012) 86:161–8. - PubMed
-
- Schmults CD, Blitzblau R, Aasi SZ, Alam M, Andersen JS, Baumann BC, et al. . NCCN guidelines version 2.2022 squamous cell skin cancer (2022). Available at: https://www.nccn.org/home/member-. - PubMed
-
- Ettinger DS, Wood DE, Aisner DL, Akerley W, Bauman JR, Bharat A, et al. . NCCN guidelines version 5.2022 non-small cell lung cancer continue NCCN guidelines panel disclosures (2022). Available at: https://www.nccn.org/home/member-.
Publication types
LinkOut - more resources
Full Text Sources
Research Materials