Moderating Gut Microbiome/Mitochondrial Axis in Oxazolone Induced Ulcerative Colitis: The Evolving Role of β-Glucan and/or, Aldose Reductase Inhibitor, Fidarestat
- PMID: 36769034
- PMCID: PMC9917140
- DOI: 10.3390/ijms24032711
Moderating Gut Microbiome/Mitochondrial Axis in Oxazolone Induced Ulcerative Colitis: The Evolving Role of β-Glucan and/or, Aldose Reductase Inhibitor, Fidarestat
Abstract
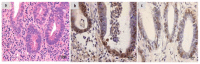
A mechanistic understanding of the dynamic interactions between the mitochondria and the gut microbiome is thought to offer innovative explanations for many diseases and thus provide innovative management approaches, especially in GIT-related autoimmune diseases, such as ulcerative colitis (UC). β-Glucans, important components of many nutritious diets, including oats and mushrooms, have been shown to exhibit a variety of biological anti-inflammatory and immune-modulating actions. Our research study sought to provide insight into the function of β-glucan and/or fidarestat in modifying the microbiome/mitochondrial gut axis in the treatment of UC. A total of 50 Wistar albino male rats were grouped into five groups: control, UC, β-Glucan, Fidarestat, and combined treatment groups. All the groups were tested for the presence of free fatty acid receptors 2 and 3 (FFAR-2 and -3) and mitochondrial transcription factor A (TFAM) mRNA gene expressions. The reactive oxygen species (ROS), mitochondrial membrane potential (MMP), and ATP content were found. The trimethylamine N-oxide (TMAO) and short-chain fatty acid (SCFA) levels were also examined. Nuclear factor kappa β (NF-kβ), nuclear factor (erythroid-2)-related factor 2 (Nrf2) DNA binding activity, and peroxisome proliferator-activated receptor gamma co-activator-1 (PGC-1) were identified using the ELISA method. We observed a substantial increase FFAR-2, -3, and TFAM mRNA expression after the therapy. Similar increases were seen in the ATP levels, MMP, SCFA, PGC-1, and Nrf2 DNA binding activity. The levels of ROS, TMAO, and NF-kβ, on the other hand, significantly decreased. Using β-glucan and fidarestat together had unique therapeutic benefits in treating UC by focusing on the microbiota/mitochondrial axis, opening up a new avenue for a potential treatment for such a complex, multidimensional illness.
Keywords: SCFA; fidarestat; microbiota; mitochondria; ulcerative colitis; ꞵ-glucan.
Conflict of interest statement
The authors declare no conflict of interest.
Figures






References
MeSH terms
Substances
LinkOut - more resources
Full Text Sources
Medical