Skip to main page content
U.S. flag

An official website of the United States government

Dot gov

The .gov means it’s official.
Federal government websites often end in .gov or .mil. Before sharing sensitive information, make sure you’re on a federal government site.

Https

The site is secure.
The https:// ensures that you are connecting to the official website and that any information you provide is encrypted and transmitted securely.

Access keys NCBI Homepage MyNCBI Homepage Main Content Main Navigation
Case Reports
. 2023 Jan 11;15(1):e33661.
doi: 10.7759/cureus.33661. eCollection 2023 Jan.

Recurrent Pericarditis: A Rare Adverse Effect of Mesalamine

Affiliations
Case Reports

Recurrent Pericarditis: A Rare Adverse Effect of Mesalamine

Pratul Karki et al. Cureus. .

Abstract

Inflammation of the myocardium (myocarditis), pericardium (pericarditis), or both (myopericarditis) is a rare but potentially lethal side effect of mesalamine, a drug widely used in the treatment of inflammatory bowel disease (IBD). A 64-year-old female with a history of ulcerative colitis on mesalamine presented with dyspnea and chest pain. The patient was found to have mild to moderate pericardial effusion with signs of pericarditis. Further workup revealed positive rheumatoid factor, antineutrophil cytoplasmic autoantibody, cytoplasmic (c-ANCA), and antinuclear antibodies (ANA), raising suspicion for rheumatoid-associated pericarditis. She was discharged with a prednisone taper and an outpatient rheumatology follow-up. However, the patient presented again in three months with similar complaints and was found to have recurrent pericarditis. On this admission, mesalamine-induced pericarditis was considered in the differential diagnosis, and it was stopped on discharge. On a three-month follow-up, the patient showed complete resolution. Mesalamine-induced pericarditis is a rare side effect of this drug, and prompt recognition and appropriate intervention are important to prevent the progression of the inflammation and avoid adverse cardiovascular outcomes. The association of IBD with extra-intestinal cardiac manifestations can delay early diagnosis and treatment.

Keywords: atypical chest pain; chest pain; dyspnea; inspiratory dyspnea; mesalamine; recurrent pericarditis.

PubMed Disclaimer

Conflict of interest statement

The authors have declared that no competing interests exist.

Figures

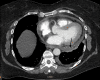
Figure 1
Figure 1. CTA chest with mild to moderate sized pericardial effusion
CTA: computed tomography angiography

References

    1. Mesalamine induced myopericarditis: a case report and literature review. Taha ME, Abdalla A, Al-Khafaji J, Malik S. Cardiol Res. 2019;10:59–62. - PMC - PubMed
    1. Second European evidence-based consensus on the diagnosis and management of ulcerative colitis part 2: current management. Dignass A, Lindsay JO, Sturm A, et al. J Crohns Colitis. 2012;6:991–1030. - PubMed
    1. Acute pleuropericarditis in a patient with primary Sjögren's syndrome and quiescent ulcerative colitis in longstanding 5-aminosalicylic acid therapy. Qanneta R, García Pardo G, Florit Serra L. J Crohns Colitis. 2013;7:0–7. - PubMed
    1. Drug-induced pericarditis mimicking Brugada syndrome. Hermida JS, Six I, Jarry G. Europace. 2007;9:66–68. - PubMed
    1. Massive pericardial effusion in a child following the administration of mesalamine. Kaiser GC, Milov DE, Erhart NA, Bailey DJ. J Pediatr Gastroenterol Nutr. 1997;25:435–438. - PubMed

Publication types

LinkOut - more resources