Inadvertent, Self-Induced Pneumoparotitis Provoking Pneumomediastinum
- PMID: 36811055
- PMCID: PMC9939243
- DOI: 10.7759/cureus.34016
Inadvertent, Self-Induced Pneumoparotitis Provoking Pneumomediastinum
Abstract
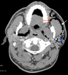
Pneumoparotid refers to the presence of air within the parotid gland and pneumoparotitis indicates overlying inflammation or infection. Several physiologic mechanisms exist to prevent the reflux of air and oral contents into the parotid gland, however, these safeguards can be overcome by high intraoral pressures, thus provoking pneumoparotid. Whereas the relationship between pneumomediastinum and air dissecting up into cervical tissues is well understood, the relationship between pneumoparotitis and free air traveling downwards through contiguous structures within the mediastinum is less defined. We present a case of a gentleman who experienced the sudden onset of facial swelling and crepitus in the context of inflating an air mattress with his mouth, who was ultimately found to have pneumoparotid with consequent pneumomediastinum. Discussion of this unusual presentation is important to facilitate recognition and treatment of this uncommon pathology.
Keywords: parotid gland; pneumomediastinum; pneumoparotid; pneumoparotitis; stensen's duct.
Copyright © 2023, Youner et al.
Conflict of interest statement
The authors have declared that no competing interests exist.
Figures


References
-
- Pneumoparotid: a rare but well-documented cause of parotid gland swelling. Aljeaid D, Mubarak A, Imarli Y, et al. Egypt J. 2020;36:46.
-
- Spontaneous pneumomediastinum, pneumoretroperitoneum, and cervicofacial subcutaneous emphysema after repeatedly and forcefully blowing into a bottle. Swe T, Naing AT, Lixon A, Quist J. https://doi.org/10.3402/jchimp.v6.33361. J Community Hosp Intern Med Perspect. 2016;6:33361. - PMC - PubMed
-
- Pneumoparotitis: a diagnostic challenge. Ghanem M, Brown J, McGurk M. https://doi.org/10.1016/j.ijom.2011.12.013. Int J Oral Maxillofac Surg. 2012;41:774–776. - PubMed
Publication types
LinkOut - more resources
Full Text Sources