Pancreatic colloid adenocarcinoma arising from intraductal papillary mucinous neoplasm: Radiologic-pathologic correlation with cinematic rendering
- PMID: 36817179
- PMCID: PMC9932949
- DOI: 10.1177/20584601231157046
Pancreatic colloid adenocarcinoma arising from intraductal papillary mucinous neoplasm: Radiologic-pathologic correlation with cinematic rendering
Abstract
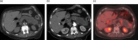
Intraductal papillary mucinous neoplasms (IPMN) of the pancreas have the potential for malignant progression into adenocarcinoma. Colloid or mucinous non-cystic carcinoma of the pancreas is an uncommon variant neoplasm that can arise within an intestinal type IPMN and have a relatively improved prognosis but may mimic the more lethal tubular or ductal adenocarcinoma. Colloid carcinoma is an infiltrating ductal epithelial neoplasm containing primarily extracellular stromal mucin pools and scant amount of centrally floating neoplastic cells. While several reports have evaluated the unique pathologic and immunohistochemical profile of colloid carcinomas, there has been limited radiologic-pathologic correlation in the literature. We report a case of an 83-year-old female who presented for evaluation of slowly progressive abdominal pain and was found to have colloid carcinoma arising from an IPMN. This is one of the first reports to correlate the multimodality radiology including cinematic rendering (CR) and histopathology features associated with this tumor. An enhanced understanding of the correlation between imaging appearance and specific histopathologic findings may aid in the early recognition and treatment of this rare neoplasm. Emphasis is placed on CR as this may help guide surgical management.
Keywords: cinematic rendering; colloid adenocarcinoma; intraductal papillary mucinous neoplasm.
© The Author(s) 2023.
Conflict of interest statement
The author(s) declared no potential conflicts of interest with respect to the research, authorship, and/or publication of this article.
Figures





References
-
- Bosman FT, Carneiro F, Hruban RH, et al. WHO classification of tumours of the digestive system. Geneva, Switzerland: WHO. http://www.cabdirect.org/cabdirect/abstract/20113051318 (2010, accessed 9 October 2020).
-
- Liszka L, Zielinska-Pajak E, Pajak J, et al. Colloid carcinoma of the pancreas: review of selected pathological and clinical aspects. Pathology 2008; 40: 655–663. - PubMed
-
- Adsay NV, Pierson C, Sarkar F, et al. Colloid (mucinous noncystic) carcinoma of the pancreas. Am J Surg Pathol 2001; 25: 26–42. - PubMed
Publication types
Grants and funding
LinkOut - more resources
Full Text Sources