Isolated diffuse intestinal ganglioneuromatosis presented as a redundant sigmoid colon: a case report
- PMID: 36845810
- PMCID: PMC9949766
- DOI: 10.1097/MS9.0000000000000195
Isolated diffuse intestinal ganglioneuromatosis presented as a redundant sigmoid colon: a case report
Abstract
Diffuse intestinal ganglioneuromtosis is a benign tumor of the enteric nervous system, that almost always occurs in children with systemic syndromes. Whereas isolated cases in adults are exceedingly rare.
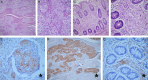
Case presentation: A 38-year-old man presented with refractory chronic constipation. An abdominal computed tomography scan revealed a redundant sigmoid colon, then he underwent a sigmoid colectomy. Histopathologic examination showed diffuse ganglioneuromatosis. However, the patient was in good health 18 months after surgery.
Clinical discussion: Intestinal ganglioneuromas commonly occur in children with systemic syndromes such as multiple endocrine neoplasia type 2B and neurofibromatosis type 1. The most frequent symptoms are abdominal discomfort, constipation, ileus, weight loss, appendicitis, and obstruction in more severe cases. surgical resection is the standard management in diffuse ganglioneuromatosis.
Conclusion: Although diffuse ganglioneuromatosis is uncommon, it should be considered in patients with refractory constipation.
Keywords: adults; constipation; dolichocolon; ganglioneuromaintestinal; ganglioneuromatosis.
© 2023 the Author(s). Published by Wolters Kluwer Health, Inc.
Conflict of interest statement
The authors declare that they have no financial conflict of interest with regard to the content of this report.
Figures



References
-
- Kim TJ, Lim H, Kang HS, et al. . Diffuse ganglioneuromatosis of the colon presenting as a large subepithelial tumor in adults: report of two cases. Korean J Gastroenterol 2015;66:111–115. - PubMed
-
- Agha RA, Franchi T, Sohrabi C, et al. . The SCARE 2020 Guideline: Updating Consensus Surgical CAse REport (SCARE) Guidelines. Int J Surg 2020;84:226–230. - PubMed
LinkOut - more resources
Full Text Sources
Research Materials