Spontaneous splenic pseudocyst: Case report of a rare entity
- PMID: 36846177
- PMCID: PMC9950349
- DOI: 10.1002/ccr3.6964
Spontaneous splenic pseudocyst: Case report of a rare entity
Abstract
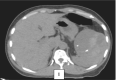
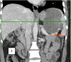
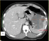
Splenic cysts are classified on the basis of epithelial lining, either primary or secondary. Primary cysts are further divided as parasitic and nonparasitic. The secondary cysts are usually post traumatic or after a splenic extension of pancreatic pseudocyst. However, not all pseudocysts are associated with trauma. Mostly, they are asymptomatic (30%-60%) and usually grow in size to cause compressive symptoms. Splenic pseudocysts should be differentiated with other malignant and nonmalignant pathology, specifically hydatid cysts, in order to manage them correctly. The walls of pseudocysts may be degenerative or calcified, which may resemble hydatid cysts. Here, we present a case of a non-traumatic splenic cyst masquerading as a hydatid cyst preoperatively. The patient was taken up for surgery and intraoperatively noted to be a hemorrhagic cyst with a non-splenic cyst wall. We decided to preserve the spleen with marsupialisation of cyst and omentoplasty. On histopathology, the diagnosis of a pseudocyst of spleen was made in view of absent epithelial lining. We would like to report this case because of the diagnostic dilemma, its clinical rarity and, even more, in the absence of any history of trauma.
Keywords: pseudocyst; spleen; splenic cysts; surgery.
© 2023 The Authors. Clinical Case Reports published by John Wiley & Sons Ltd.
Conflict of interest statement
Non conflict of interests.
Figures









References
-
- Dachman AH, Ros PR, Murari PJ, Olmsted WW, Lichtenstein JE. Nonparasitic splenic cysts: a report of 52 cases with radiologic‐pathologic correlation. Am J Roentgenol. 1986;147(3):537‐542. - PubMed
Publication types
LinkOut - more resources
Full Text Sources