Testicular choriocarcinoma: a rare diagnosis in a patient presenting with hemorrhagic shock
- PMID: 36846845
- PMCID: PMC9946768
- DOI: 10.1093/jscr/rjad064
Testicular choriocarcinoma: a rare diagnosis in a patient presenting with hemorrhagic shock
Abstract
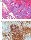
Testicular choriocarcinoma is a rare and aggressive subtype of nonseminomatous germ cell tumors accounting for <1% of all germ cell tumors. We report an unusual case of testicular choriocarcinoma metastasis that presents as hemorrhagic shock. Diagnosis was unsuspected and difficult with vast other potential causes. This case highlights the importance of proper foundational workup and management that ultimately led to the appropriate definitive treatment of unusual manifestations of undiagnosed metastatic choriocarcinoma in a critical patient.
Published by Oxford University Press and JSCR Publishing Ltd. © The Author(s) 2023.
Figures



References
-
- Wong LC, Choo YC, Ma HK. Hepatic metastases in gestational trophoblastic disease. Obstet Gynecol 1986;67:107–11. - PubMed
-
- Hussain SA, Ma YT, Palmer DH, Hutton P, Cullen MH. Biology of testicular germ cell tumors. Expert Rev Anticancer Ther 2008;8:1659–73PMID: 18925857. - PubMed
-
- Smith ZL, Werntz RP, Eggener SE. Testicular cancer: epidemiology, diagnosis, and management. Med Clin North Am 2018;102:251–64. - PubMed
-
- Choi BG, Park SH, Byun JY, Jung SE, Choi KH, Han JY. The findings of ruptured hepatocellular carcinoma on helical CT. Br J Radiol 2001;74:142–6. - PubMed
Publication types
LinkOut - more resources
Full Text Sources