Two Very Rare Cases of Metastatic Thymic Carcinoma with Sjogren's Syndrome: A Case Series
- PMID: 36876216
- PMCID: PMC9975811
- DOI: 10.1159/000529425
Two Very Rare Cases of Metastatic Thymic Carcinoma with Sjogren's Syndrome: A Case Series
Abstract
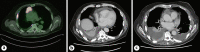
Thymic tumours are rare thoracic malignancies with thymic carcinoma accounting for approximately 12% of all thymic tumours compared to thymomas which account for approximately 86%. Unlike thymomas, it is very rare for thymic carcinomas to be associated with autoimmune disorders or paraneoplastic syndromes. When these phenomena do occur, the vast majority are myasthenia gravis, pure red cell aplasia, or systemic lupus erythematous. Paraneoplastic Sjogren's syndrome is a rare complication of thymic carcinoma, with only two cases previously reported. Here we present 2 cases of patients with metastatic thymic carcinoma who developed autoimmune phenomena consistent with Sjogren's syndrome without classical symptoms prior to treatment. One patient opted for surveillance of their malignancy, while the other underwent chemoimmunotherapy with favourable results. These case reports describe two distinctive clinical presentations of a rare paraneoplastic phenomenon.
Keywords: Autoimmune disorder; Immunotherapy; Paraneoplastic syndrome; Sjogren’s syndrome; Thymic carcinoma.
© 2023 The Author(s). Published by S. Karger AG, Basel.
Conflict of interest statement
The authors declare that they have no competing interests.
Figures
References
Publication types
LinkOut - more resources
Full Text Sources
