An Atypical Cause of Primary Amenorrhea: A Case Report of Rare Vaginal Agenesis
- PMID: 36909065
- PMCID: PMC9993800
- DOI: 10.7759/cureus.34673
An Atypical Cause of Primary Amenorrhea: A Case Report of Rare Vaginal Agenesis
Abstract
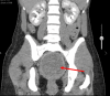
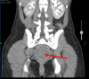
Vaginal agenesis is part of a group of anomalies, referred to as Mullerian anomalies due to their embryologic origin, in which there is a congenital absence of the vagina. We present a unique case in which a 20-year-old female presented to the Emergency Department with cyclical abdominal pain and primary amenorrhea. The original assessment showed a probable imperforate hymen; however, it was later found that she likely had vaginal agenesis. Vaginal agenesis is a rare disease, but it is prevalent enough that it should be kept at the forefront of the differential diagnosis in a woman with primary amenorrhea and recurring pain. We also highlight the importance of patient education in general, but categorically to sexual health.
Keywords: case report; imperforate hymen; mayer-rokitansky-kuster-hauser; mullerian agenesis; primary amenorrhea; vaginal agenesis.
Copyright © 2023, Petrykowski et al.
Conflict of interest statement
The authors have declared that no competing interests exist.
Figures







References
-
- Marc R Laufer, MD MD, Robert L Barbieri, MD MD, Deborah Levine, MD MD. UpToDate. Waltham, MA: UpToDate; [ Jan; 2023 ]. 2022. Congenital anomalies of the hymen and vagina.
-
- Vaginal malformations. Evans T.N., Poland M.L., Boving R.L. American Journal of Obstetrics and Gynecology. 1981;141:910. - PubMed
-
- Hoffman BL, Schorge JO, Halvorson LM, et al. Williams Gynecology, 4e. McGraw Hill; 2020. Anatomic Disorders.
-
- Hoffman BL, Schorge JO, Halvorson LM, et al. Williams Gynecology, 4e. McGraw Hill; [ Dec; 2022 ]. 2020. Surgeries for Benign Gynecologic Disorders.
-
- An atypical presentation of vaginal agenesis. Huguelet PS, May LT, Scott SM. J Pediatr Adolesc Gynecol. 2015;28:0–6. - PubMed
Publication types
LinkOut - more resources
Full Text Sources