Frontonasal Dysplasia: A Diagnostic Challenge with Fetal MRI in Twin Pregnancy
- PMID: 36910596
- PMCID: PMC9996711
- DOI: 10.1177/2329048X231157147
Frontonasal Dysplasia: A Diagnostic Challenge with Fetal MRI in Twin Pregnancy
Abstract
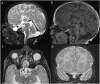
Callosal agenesis is a complex condition with disruption in the steps such as cellular proliferation, migration, axonal growth, guidance, or glial patterning at the midline. Agenesis of the corpus callosum (AgCC) is associated with diverse midline craniofacial malformations affecting the frontal-cranial and midface skeleton. Diagnosing midline abnormalities prenatally can be challenging, especially in twin pregnancies, due to poor resolution of skull base structures on fetal MRI, basal cephalocele could be mistaken for fluid in the nasopharynx, motion limitation, and fetal positioning. Our case highlights the importance of evaluation for other associated midline anomalies when there is callosal agenesis.
Keywords: agenesis of the corpus callosum; fetal MRI; frontonasal dysplasia; morning glory syndrome.
© The Author(s) 2023.
Conflict of interest statement
The author(s) declared no potential conflicts of interest with respect to the research, authorship, and/or publication of this article.
Figures
