Esophageal duplication cysts: a clinical practice review
- PMID: 36926292
- PMCID: PMC10011867
- DOI: 10.21037/med-22-33
Esophageal duplication cysts: a clinical practice review
Abstract
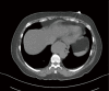
Esophageal duplication represents one of the most common types of bronchopulmonary foregut malformations. These rare congenital anomalies occur secondary to embryological aberrations between the 4th and 8th weeks of gestation. In order to be classified as an esophageal cyst a mediastinal cyst must have a close proximity with the esophagus, be lined by alimentary (squamous epithelium) or tracheobronchial mucosa and covered by two smooth muscle layers. These rare anomalies are often asymptomatic during adulthood. However, they can cause symptoms in early childhood, generally during the first 2 years of life. Variations in location, size, presence or absence of heterotopic mucosa, will dictate the clinical presentation. Dysphagia, food impaction, persistent cough and chest pain are common clinical presentations. Imaging studies including esophagram, computed tomography (CT) and magnetic resonance imaging (MRI) can provide key findings to reach the diagnosis. Nonetheless, endoscopic evaluation, particularly endoscopic ultrasound (EUS) is the most valuable tool to determine whether this lesion is cystic versus solid and or if there are abnormal mucosal findings. Needle biopsies are controversial but can help with drainage and to rule out malignant transformation. Therapeutic options include endoluminal drainage. However, more definitive therapies include surgical excision. Open and minimally invasive (laparoscopic and thoracoscopic) techniques have been demonstrated to be safe and effective at completely removing these lesions. Recently, robotic-assisted resections have gained more attention with case reports and series reporting excellent outcomes.
Keywords: Esophagus; congenital; duplication cyst; thoracic surgery.
2023 Mediastinum. All rights reserved.
Conflict of interest statement
Conflicts of Interest: Both authors have completed the ICMJE uniform disclosure form (available at https://med.amegroups.com/article/view/10.21037/med-22-33/coif). The series “Mediastinal Cysts” was commissioned by the editorial office without any funding or sponsorship. The authors have no other conflicts of interest to declare.
Figures
 
              
              
              
              
                
                
                 
              
              
              
              
                
                
                 
              
              
              
              
                
                
                 
              
              
              
              
                
                
                 
              
              
              
              
                
                
                 
              
              
              
              
                
                
                 
              
              
              
              
                
                
                 
              
              
              
              
                
                
                References
Publication types
LinkOut - more resources
- Full Text Sources
 
        