Management of an iatrogenic duodenal perforation with a helical tack system in a patient with pancreatic cancer complicated by gastric outlet obstruction
- PMID: 36935812
- PMCID: PMC10020155
- DOI: 10.1016/j.vgie.2022.11.014
Management of an iatrogenic duodenal perforation with a helical tack system in a patient with pancreatic cancer complicated by gastric outlet obstruction
Abstract
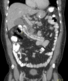
Video 1Closure of an iatrogenic perforation with helical tack system and subsequent EUS-guided choledochoduodenostomy.
Keywords: EUS-CD, EUS-guided choledochoduodenostomy; GOO, gastric outlet obstruction; HTS, helical tack system.
© 2022 American Society for Gastrointestinal Endoscopy. Published by Elsevier Inc.
Figures





References
-
- Wang K., Shi J., Ye L. Endoscopic management of iatrogenic gastrointestinal perforations. Laparoscop Endoscop Robot Surg. 2019;2:41–46.
-
- Mahmoud T., Wong K., Song L.M., et al. Initial multicenter experience using a novel endoscopic tack and suture system for challenging GI defect closure and stent fixation (with video) Gastrointest Endosc. 2022;95:373–382. - PubMed
LinkOut - more resources
Full Text Sources