The European Society of Gynaecological Oncology (ESGO), the International Society for the Study of Vulvovaginal Disease (ISSVD), the European College for the Study of Vulval Disease (ECSVD), and the European Federation for Colposcopy (EFC) consensus statement on the management of vaginal intraepithelial neoplasia
- PMID: 36958755
- PMCID: PMC10086489
- DOI: 10.1136/ijgc-2022-004213
The European Society of Gynaecological Oncology (ESGO), the International Society for the Study of Vulvovaginal Disease (ISSVD), the European College for the Study of Vulval Disease (ECSVD), and the European Federation for Colposcopy (EFC) consensus statement on the management of vaginal intraepithelial neoplasia
Abstract
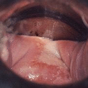
The European Society of Gynaecological Oncology (ESGO), the International Society for the Study of Vulvovaginal Disease (ISSVD), the European College for the Study of Vulval Disease (ECSVD), and the European Federation for Colposcopy (EFC) developed consensus statements on pre-invasive vulvar lesions in order to improve the quality of care for patients with vaginal intraepithelial neoplasia (VaIN). The management of VaIN varies according to the grade of the lesion: VaIN 1 (low grade vaginal squamous intraepithelial lesions (SIL)) can be subjected to follow-up, while VaIN 2-3 (high-grade vaginal SIL) should be treated. Treatment needs individualization according to the patient's characteristics, disease extension and previous therapeutic procedures. Surgical excision is the mainstay of treatment and should be performed if invasion cannot be excluded. Total vaginectomy is used only in highly selected cases of extensive and persistent disease. Carbon dioxide (CO2) laser may be used as both an ablation method and an excisional one. Reported cure rates after laser excision and laser ablation are similar. Topical agents are useful for persistent, multifocal lesions or for patients who cannot undergo surgical treatment. Imiquimod was associated with the lowest recurrence rate, highest human papillomavirus (HPV) clearance, and can be considered the best topical approach. Trichloroacetic acid and 5-fluorouracil are historical options and should be discouraged. For VaIN after hysterectomy for cervical intraepithelial neoplasia (CIN) 3, laser vaporization and topical agents are not the best options, since they cannot reach epithelium buried in the vaginal scar. In these cases surgical options are preferable. Brachytherapy has a high overall success rate but due to late side effects should be reserved for poor surgical candidates, having multifocal disease, and with failed prior treatments. VaIN tends to recur and ensuring patient adherence to close follow-up visits is of the utmost importance. The first evaluation should be performed at 6 months with cytology and an HPV test during 2 years and annually thereafter. The implementation of vaccination against HPV infection is expected to contribute to the prevention of VaIN and thus cancer of the vagina. The effects of treatment can have an impact on quality of life and result in psychological and psychosexual issues which should be addressed. Patients with VaIN need clear and up-to-date information on a range of treatment options including risks and benefits, as well as the need for follow-up and the risk of recurrence.
Keywords: Brachytherapy; Surgical Procedures, Operative; Vaginal Neoplasms; Vulvar and Vaginal Cancer.
© ESGO, ISSVD, EFC, ECSVD 2023. Re-use permitted under CC BY. Published by BMJ.
Conflict of interest statement
Competing interests: None declared.
Figures





References
-
- Preti M, Joura E, Vieira-Baptista P, et al. . The European Society of Gynaecological Oncology (ESGO), the International Society for the Study of Vulvovaginal Disease (ISSVD), the European College for the Study of Vulval Disease (ECSVD) and the European Federation for Colposcopy (EFC) consensus statements on pre-invasive vulvar lesions. Int J Gynecol Cancer 2022;32:830–45. 10.1136/ijgc-2021-003262 - DOI - PMC - PubMed
-
- Darragh TM, Colgan TJ, Cox JT, et al. . The lower anogenital squamous terminology standardization project for HPV-associated lesions: background and consensus recommendations from the College of American Pathologists and the American Society for Colposcopy and Cervical Pathology. J Low Genit Tract Dis 2012;16:205–42. 10.1097/LGT.0b013e31825c31dd - DOI - PubMed
-
- WHO Classification of Tumors Editorial Board . Female genital tumors, WHO classification of tumors, 5th edition, volume 4; 2020.