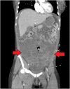
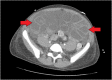
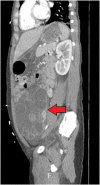
Female with peritonitis and abdominal distention
- PMID: 36960351
- PMCID: PMC10028411
- DOI: 10.1002/emp2.12933
Female with peritonitis and abdominal distention
Keywords: IVF; OHSS; ascites; assisted reproductive technology; assisted reproductive therapy; follicular cyst; oocyte; ovarian hyperstimulation syndrome; peritonitis.
Figures



References
-
- Practice Committee of the American Society for Reproductive Medicine. Electronic address: ASRM@asrm.org; Practice Committee of the American Society for Reproductive Medicine . Prevention and treatment of moderate and severe ovarian hyperstimulation syndrome: a guideline. Fertil Steril. 2016;106(7):1634‐1647. Epub 2016 Sep 24. PMID: 27678032. doi:10.1016/j.fertnstert.2016.08.048 - DOI - PubMed
LinkOut - more resources
Full Text Sources