Churg-Strauss syndrome-associated heart failure and left ventricular thrombosis
- PMID: 36965162
- PMCID: PMC10192261
- DOI: 10.1002/ehf2.14244
Churg-Strauss syndrome-associated heart failure and left ventricular thrombosis
Abstract
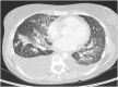
We present a case of a 47-year-old woman with a history of asthma and mononeuritis who presented with shortness of breath and fatigue. Heart failure was diagnosed and echocardiography revealed large floating thrombi attached to the left ventricular walls. Cardiac magnetic resonance imaging showed evidence of myocarditis and angiitis. Blood count revealed eosinophilia. She was diagnosed with eosinophilic granulomatosis with polyangiitis or Churg-Strauss syndrome (CSS) according to recently updated criteria. Medical management with specific aetiology (anticoagulation or immunosuppression) and heart failure treatment resulted in clinical improvement. We further discuss the diagnostic approach of CSS with cardiovascular complications and therapeutic management.
Keywords: Churg-Strauss syndrome; Eosinophilic granulomatosis with polyangiitis; Heart failure; Left ventricular thrombus; Myocarditis.
© 2022 The Authors. ESC Heart Failure published by John Wiley & Sons Ltd on behalf of European Society of Cardiology.
Conflict of interest statement
None declared.
Figures






References
-
- Furuta S, Iwamoto T, Nakajima H. Update on eosinophilic granulomatosis with polyangiitis. Allergol Int. 2019; 68: 430–436. - PubMed
-
- Martin RM, Wilton LV, Mann RD. Prevalence of Churg‐Strauss syndrome, vasculitis, eosinophilia and associated conditions: retrospective analysis of 58 prescription‐event monitoring cohort studies. Pharmacoepidemiol Drug Saf. 1999; 8: 179–189. - PubMed
Publication types
MeSH terms
LinkOut - more resources
Full Text Sources
Medical