Neuroimaging in Primary Coenzyme-Q10-Deficiency Disorders
- PMID: 36978966
- PMCID: PMC10045115
- DOI: 10.3390/antiox12030718
Neuroimaging in Primary Coenzyme-Q10-Deficiency Disorders
Abstract
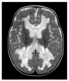
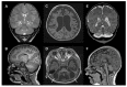
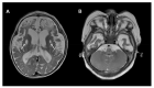
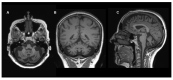
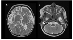
Coenzyme Q10 (CoQ10) is an endogenously synthesized lipid molecule. It is best known for its role as a cofactor within the mitochondrial respiratory chain where it functions in electron transfer and ATP synthesis. However, there are many other cellular pathways that also depend on the CoQ10 supply (redox homeostasis, ferroptosis and sulfide oxidation). The CoQ10 biosynthesis pathway consists of several enzymes, which are encoded by the nuclear DNA. The majority of these enzymes are responsible for modifications of the CoQ-head group (benzoquinone ring). Only three enzymes (PDSS1, PDSS2 and COQ2) are required for assembly and attachment of the polyisoprenoid side chain. The head-modifying enzymes may assemble into resolvable domains, representing COQ complexes. During the last two decades, numerous inborn errors in CoQ10 biosynthesis enzymes have been identified. Thus far, 11 disease genes are known (PDSS1, PDSS2, COQ2, COQ4, COQ5, COQ6, COQ7, COQ8A, COQ8B, COQ9 and HPDL). Disease onset is highly variable and ranges from the neonatal period to late adulthood. CoQ10 deficiency exerts detrimental effects on the nervous system. Potential consequences are neuronal death, neuroinflammation and cerebral gliosis. Clinical features include encephalopathy, regression, movement disorders, epilepsy and intellectual disability. Brain magnetic resonance imaging (MRI) is the most important tool for diagnostic evaluation of neurological damage in individuals with CoQ10 deficiency. However, due to the rarity of the different gene defects, information on disease manifestations within the central nervous system is scarce. This review aims to provide an overview of brain MRI patterns observed in primary CoQ10 biosynthesis disorders and to highlight disease-specific findings.
Keywords: Leigh syndrome; mitochondrial oxidative phosphorylation; multiple system atrophy; neurodegeneration; ubiquinone.
Conflict of interest statement
The authors declare no conflict of interest.
Figures
 
              
              
              
              
                
                
                 
              
              
              
              
                
                
                 
              
              
              
              
                
                
                 
              
              
              
              
                
                
                 
              
              
              
              
                
                
                 
              
              
              
              
                
                
                References
- 
    - Salviati L., Trevisson E., Doimo M., Navas P. Primary Coenzyme Q(10) Deficiency. In: Adam M., Everman D., Mirzaa G., Pagon R., Wallace S., Bean L.J., Gripp K., Amemiya A., editors. GeneReviews(®) University of Washington; Seattle, WA, USA: 1993. - PubMed
 
Publication types
Grants and funding
LinkOut - more resources
- Full Text Sources
 
        