Skip to main page content
U.S. flag

An official website of the United States government

Dot gov

The .gov means it’s official.
Federal government websites often end in .gov or .mil. Before sharing sensitive information, make sure you’re on a federal government site.

Https

The site is secure.
The https:// ensures that you are connecting to the official website and that any information you provide is encrypted and transmitted securely.

Access keys NCBI Homepage MyNCBI Homepage Main Content Main Navigation
Case Reports
. 2023 Feb 23;15(2):e35376.
doi: 10.7759/cureus.35376. eCollection 2023 Feb.

Right-Sided Epididymo-Orchitis as a Presentation of Diverticular Colovesical Fistula

Affiliations
Case Reports

Right-Sided Epididymo-Orchitis as a Presentation of Diverticular Colovesical Fistula

Kavina Sidhu et al. Cureus. .

Abstract

A colovesical fistula is a recognized complication of diverticulitis. Although the underlying pathology is usually of colonic origin, the majority of patients present with urological symptoms, classically pneumaturia, and urinary tract infection. Epididymo-orchitis is a rare presentation. It is important to identify elderly males who present with recurrent urosepsis and/or epididymo-orchitis refractory to medical treatment as they may have an underlying benign or malignant etiology. The diagnostic challenge in these cases is to confirm the presence of a fistula, exclude malignancy, and determine the underlying pathology. We present a case of diverticular colovesical fistula in an elderly male who presented with symptoms of epididymo-orchitis on a background of recurrent urinary tract infections. The presence of intravesical gas within the left posterolateral bladder wall and soft tissue thickening continuous with the mid-sigmoid colon was consistent with a colovesical fistula. This patient underwent elective laparoscopic anterior resection and repair of colovesical fistula.

Keywords: colovesical fistula; complicated diverticulitis; diverticulitis; epididymo-orchitis; fecaluria; intravesical gas; laparoscopic anterior resection; pneumaturia; recurrent urinary tract infections; urosepsis.

PubMed Disclaimer

Conflict of interest statement

The authors have declared that no competing interests exist.

Figures

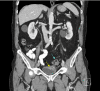
Figure 1
Figure 1. Coronal computed tomography of the abdomen and pelvis with intravenous and oral contrast (Gastrografin).
The image shows gas locules within the bladder (yellow arrow) and adjacent sigmoid diverticulitis (blue arrow) consistent with colovesical fistula.
Figure 2
Figure 2. Axial computed tomography of the abdomen and pelvis with intravenous and oral contrast (Gastrografin).
Gas locules (yellow arrow) and anti-dependent gas (green arrow) within the bladder and adjacent sigmoid diverticulitis (blue arrow) consistent with colovesical fistula.
Figure 3
Figure 3. Ultrasound images of the right testicle and epididymis demonstrating acute right epididymitis and mild orchitis.
(A) Right testicle and small right hydrocele (yellow arrow) with low-level internal echoes and separations (blue arrow). (B) Swollen, edematous right epididymis (red arrow). (C) Markedly hyperemic and increased vascularity (green arrow) in right epididymis.
Figure 4
Figure 4. Macroscopic pathology of the patient.
Area of fibrous adhesion on serosal surface of bowel wall. Multiple diverticula and intramural abscess are also seen.

References

    1. Enterovesical fistulae: aetiology, imaging, and management. Golabek T, Szymanska A, Szopinski T, Bukowczan J, Furmanek M, Powroznik J, Chlosta P. Gastroenterol Res Pract. 2013;2013 - PMC - PubMed
    1. Laparoscopic conservative surgery of colovesical fistula: is it the right way? Giovanni C, Emanuele C, Roberto C, et al. Wideochir Inne Tech Maloinwazyjne. 2013;8:162–165. - PMC - PubMed
    1. Colovesical fistula. Pollard SG, Macfarlane R, Greatorex R, Everett WG, Hartfall WG. https://www.ncbi.nlm.nih.gov/pmc/articles/PMC2498444/pdf/annrcse01545-00.... Ann R Coll Surg Engl. 1987;69:163–165. - PMC - PubMed
    1. Colovesical fistula presenting with epididymitis. Arneill M, Hennessey DB, McKay D. BMJ Case Rep. 2013;2013 - PMC - PubMed
    1. CT in the diagnosis of enterovesical fistulae. Goldman SM, Fishman EK, Gatewood OM, Jones B, Siegelman SS. https://www.ajronline.org/doi/pdfplus/10.2214/ajr.144.6.1229. AJR Am J Roentgenol. 1985;144:1229–1233. - PubMed

Publication types

LinkOut - more resources