Perioperative fatal thrombotic complication after elective meningioma resection in asymptomatic SARS-CoV-2 BA.5.2 (Omicron variant) infection
- PMID: 36994128
- PMCID: PMC10008788
- DOI: 10.1016/j.bjao.2023.100131
Perioperative fatal thrombotic complication after elective meningioma resection in asymptomatic SARS-CoV-2 BA.5.2 (Omicron variant) infection
Abstract
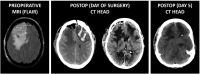
SARS-CoV-2 infection is associated with hypercoagulability, heparin resistance, and increased perioperative mortality and morbidity. Recommendations on screening and postponement of elective surgery after SARS-CoV-2 infection are being relaxed worldwide. We present a case of fatal thrombotic complication in an asymptomatic incidental SARS-CoV-2 infection (Omicron BA.5.2 variant, first isolated in May 2022) in a triple-vaccinated patient undergoing elective resection of frontal meningioma. The assumption that asymptomatic infection with more recent SARS-CoV-2 variants does not add any perioperative risk remains to be demonstrated. Based on the presented case of unexpected fatal thrombotic perioperative complication in a triple-vaccinated, asymptomatic BA.5.2 SARS-CoV-2 Omicron infection, it would seem prudent to continue to screen for asymptomatic infection and to systematically audit perioperative outcome. Evidence-based perioperative risk stratification of elective surgery in asymptomatic patients with Omicron or future COVID variants relies on reporting of perioperative complications and prospective outcome studies, which would rely on continued systematic preoperative screening.
Keywords: SARS-CoV-2; elective surgery; neuroanaesthesia; perioperative death; thrombosis.
© 2023 The Author(s).
Figures
References
-
- Bhattacharyya R.P., Hanage W.P. Challenges in inferring intrinsic severity of the SARS-CoV-2 Omicron variant. N Engl J Med. 2022;386:e14. - PubMed
-
- El-Boghdadly K., Cook T.M., Goodacre T., et al. Timing of elective surgery and risk assessment after SARS-CoV-2 infection: an update. A multidisciplinary consensus statement on behalf of the association of anaesthetists, centre for perioperative care, federation of surgical specialty associations, royal college of anaesthetists, royal college of surgeons of England. Anaesthesia. 2022;77:580–587. - PMC - PubMed
Publication types
LinkOut - more resources
Full Text Sources
Miscellaneous
