Skip to main page content
U.S. flag

An official website of the United States government

Dot gov

The .gov means it’s official.
Federal government websites often end in .gov or .mil. Before sharing sensitive information, make sure you’re on a federal government site.

Https

The site is secure.
The https:// ensures that you are connecting to the official website and that any information you provide is encrypted and transmitted securely.

Access keys NCBI Homepage MyNCBI Homepage Main Content Main Navigation
. 2022 Nov-Dec;67(6):817-819.
doi: 10.4103/ijd.ijd_769_22.

The Tricky Blue

Affiliations

The Tricky Blue

Francesca Pepe et al. Indian J Dermatol. 2022 Nov-Dec.
No abstract available

PubMed Disclaimer

Conflict of interest statement

There are no conflicts of interest.

Figures

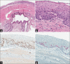
Figure 1
Figure 1
(a) Physical examination shows a blue macule of the right lower eyelid margin; (b) Dermoscopic examination: non-homogeneous bluish purple lesion and preservation of eyelashes [Fotofinder, 40x]
Figure 2
Figure 2
(a and b) Epidermis of the eyelid shows focal parakeratosis, loss of polarity and disordered maturation, scattered mitotic activity (para-basal), keratinocytes with pleomorphic and hyperchromatic nuclei (a: H and E, original magnification 10x; b: H and E, original magnification 400x); (c and d) immunohistochemical analysis shows basal and para-basal hyper-expression of p53 in atypical nuclei (c: p53, original magnification 250x), with an accompanying lentiginous melanocytic hyperplasia [d: double staining for PRAME (brown) and MART1 (red), original magnification 250x]

References

    1. Ertop Doğan P, Akay BN, Okçu Heper A, Rosendahl C, Erdem C. Dermatoscopic findings and dermatopathological correlates in clinical variants of actinic keratosis, Bowen's disease, keratoacanthoma, and squamous cell carcinoma. Dermatol Ther. 2021:e14877. - PubMed
    1. Kelati A, Baybay H, Moscarella E, Argenziano G, Gallouj S, Mernissi FZ. Dermoscopy of pigmented actinic keratosis of the face: A study of 232 cases. Actas Dermosifiliogr. 2017;108:844–51. - PubMed
    1. Lee JS, Mun JH. Dermoscopy of venous lake on the lips: A comparative study with labial melanotic macule. PLoS One. 2018;13:e0206768. - PMC - PubMed
    1. Williams NM, Navarrete-Dechent C, Marghoob AA, Abarzua-Araya Á, Salerni G, Jaimes N. Differentiating basal cell carcinoma from intradermal nevi along the eyelid margin with dermoscopy: A case series. J Am Acad Dermatol. 2021;84:173–5. - PMC - PubMed
    1. Longo C, Scope A, Lallas A, Zalaudek I, Moscarella E, Gardini S, et al. Blue lesions. Dermatol Clin. 2013;31:637–47. - PubMed