Skip to main page content
U.S. flag

An official website of the United States government

Dot gov

The .gov means it’s official.
Federal government websites often end in .gov or .mil. Before sharing sensitive information, make sure you’re on a federal government site.

Https

The site is secure.
The https:// ensures that you are connecting to the official website and that any information you provide is encrypted and transmitted securely.

Access keys NCBI Homepage MyNCBI Homepage Main Content Main Navigation
. 2022 Nov-Dec;67(6):837.
doi: 10.4103/ijd.IJD_543_20.

Primary Cutaneous CD4+ Small/Medium T-Cell Lymphoproliferative Disorder in an Unusual Location

Affiliations

Primary Cutaneous CD4+ Small/Medium T-Cell Lymphoproliferative Disorder in an Unusual Location

Daniel Ruiz-Sánchez et al. Indian J Dermatol. 2022 Nov-Dec.
No abstract available

PubMed Disclaimer

Conflict of interest statement

There are no conflicts of interest.

Figures

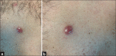
Figure 1
Figure 1
(a) Picture of the lesion located in the left inframammary region (b) Image at higher magnification of the nodule
Figure 2
Figure 2
(a) (H and E: x4) Histological features of the lymphocytic infiltrate. (b) (H and E: x20) Histological features of the small/medium lymphocytic infiltrate with the accompanying cells. (c) (Ki-67 x40) Ki-67 index proliferation positive
Figure 3
Figure 3
(a) (CD4: x4) Immunohistochemical CD4 study was positive. (b) (CD8: x20) CD8 study was negative for the atypical cells. (c) (PD1 × 20) PD1 study was positive

References

    1. Willemze R, Cerroni L, Kempf W, Berti E, Facchetti F, Swerdlow SH, et al. The 2018 update of the WHO-EORTC classification for primary cutaneous lymphomas. Blood. 2019;133:1703–14. - PMC - PubMed
    1. Gru AA, Wick MR, Eid M. Primary cutaneous CD4+small/medium T-cell lymphoproliferative disorder-clinical and histopathologic features, differential diagnosis, and treatment. Semin Cutan Med Surg. 2018;37:39–48. - PubMed
    1. Cetinözman F, Jansen PM, Willemze R. Expression of programmed death-1 in primary cutaneous CD4-positive small/medium-sized pleomorphic T-cell lymphoma, cutaneous pseudo-T-cell lymphoma, and other types of cutaneous T-cell lymphoma. Am J Surg Pathol. 2012;36:109–16. - PubMed
    1. Balagué O, Martínez A, Colomo L, Roselló E, Garcia A, Martínez-Bernal M, et al. Epstein-Barr virus negative clonal plasma cell proliferations and lymphomas in peripheral T-cell lymphomas: A phenomenon with distinctive clinicopathologic features. Am J Surg Pathol. 2007;31:1310–22. - PubMed
    1. Beltraminelli H, Leinweber B, Keri H, Cerroni L. Primary cutaneous CD4+small/medium-sized pleomorphic T-cell lymphoma: A cutaneous nodular proliferation of plemorphic T lymphocites of undeterrmined significance? A study of 136 cases. Am J Dermatopathol. 2009;31:317–22. - PubMed