Encapsulated papillary carcinoma of the breast: An institutional case series and literature review
- PMID: 36999966
- PMCID: PMC10242344
- DOI: 10.1002/cam4.5855
Encapsulated papillary carcinoma of the breast: An institutional case series and literature review
Abstract
Background: Encapsulated papillary carcinoma of the breast is rare, making difficult diagnosis and resulting in patients undergoing excision biopsy before definitive surgery. Evidence-based guidelines are sparse. We would like to further elucidate the clinicopathological, treatment and survival outcomes.
Materials and methods: 54 patients identified, with a median follow up duration of 48 months. Patients' demographics, radiological and clinicopathological characteristics, treatment, adjuvant therapies as well as survival data were analysed.
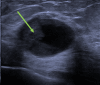
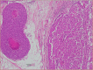
Results: 18 (33.3%) cases were pure EPC, 12 (22.2%) were EPC associated with ductal carcinoma in situ (DCIS) and 24 (44.4%) cases had concurrent invasive ductal carcinoma. EPCs were more likely to present as a solid-cystic mass on sonography (63.8%), regular-shaped (oval or round) (97.9%), lack spiculations (95.7%) and lack suspicious microcalcifications (95.6%). Median tumour size was largest in the EPC with IDC group (18.5 mm). 2 patients developed loco-regional recurrence. Overall survival is good for EPCs of all subtypes.
Conclusion: EPC is a rare tumour with excellent prognosis.
Keywords: breast; encapsulated; papillary.
© 2023 The Authors. Cancer Medicine published by John Wiley & Sons Ltd.
Conflict of interest statement
The authors declare that there is no conflict of interest.
Figures





References
-
- Fayanju OM, Ritter J, Gillanders WE, et al. Therapeutic management of intracystic papillary carcinoma of the breast: the roles of radiation and endocrine therapy. Am J Surg. 2007;194:497‐500. - PubMed
-
- Cox KL, Korourian S, Klimberg VS. Unusual tumors of the breast. Curr Probl Surg. 2009;46(7):514‐590. - PubMed
-
- Wynveen CA, Nehhozina T, Akram M. Intracystic papillary carcinoma of the breast: an in situ or invasive tumor? Results of immunohistochemical analysis and clinical follow‐up. Am J Surg Pathol. 2011;35:1‐14. - PubMed
-
- Rakha EA, Gandhi N, Climent F, et al. Encapsulated papillary carcinoma of the breast: an invasive tumor with excellent prognosis. Am J Surg Pathol. 2011;35:1093‐1103. - PubMed
Publication types
MeSH terms
LinkOut - more resources
Full Text Sources
Medical