Skip to main page content
U.S. flag

An official website of the United States government

Dot gov

The .gov means it’s official.
Federal government websites often end in .gov or .mil. Before sharing sensitive information, make sure you’re on a federal government site.

Https

The site is secure.
The https:// ensures that you are connecting to the official website and that any information you provide is encrypted and transmitted securely.

Access keys NCBI Homepage MyNCBI Homepage Main Content Main Navigation
Case Reports
. 2023 Mar 2;15(3):e35700.
doi: 10.7759/cureus.35700. eCollection 2023 Mar.

Short Stature: Think About the Pituitary Stalk Interruption Syndrome

Affiliations
Case Reports

Short Stature: Think About the Pituitary Stalk Interruption Syndrome

El Mehdi Mniai et al. Cureus. .

Abstract

Pituitary stalk interruption syndrome (PSIS) is an uncommon congenital defect of the pituitary gland. It is considered one of the rare endocrinal causes of abnormally short stature. Herein, we present a case of a four-year-old girl who consulted for short stature and delayed growth. The patient's history did not include any past medical or surgical pathology. Birth history revealed a full-term delivery with a breech presentation. Clinically, the patient had a small stature, beneath the third percentile. Magnetic resonance imaging findings, through a typical triad, were consistent with PSIS. We describe through this report, what we believe is a rare typical case of PSIS. This case was discovered in a young patient with pituitary dwarfism. We hope that the concise and synthesized structure of this case report will help physicians acquire the necessary reflexes to notice and diagnose the already underdiagnosed PSIS.

Keywords: diagnostic imaging; growth hormone deficiency; hypopituitarism; magnetic resonance imaging; pituitary diseases; pituitary gland; pituitary gland abnormalities; pituitary stalk interruption syndrome; short stature.

PubMed Disclaimer

Conflict of interest statement

The authors have declared that no competing interests exist.

Figures

Figure 1
Figure 1. Estimation of bone age of two years according to the Greulich and Pyle method
Figure 2
Figure 2. Mid-sagittal T1-weighted MRI section revealing an undersized sella turcica with a hypoplastic adenohypophysis (thick white arrow), a hypoplastic pituitary stalk (dashed line arrow), and an ectopic posterior pituitary gland (EPP) appearing in hyper signal T1 (thin white arrow)
Height of the anterior pituitary gland: 2.5 mm.
Figure 3
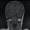
Figure 3. Coronal T1-weighted MRI section showing an ectopic posterior pituitary gland appearing in hypersignal T1 (thin white arrow)
Figure 4
Figure 4. Axial T1-weighted MRI section showing an ectopic posterior pituitary gland found under the floor of the third ventricle, behind the optic chiasma

References

    1. Pituitary gland development and disease: from stem cell to hormone production. Davis SW, Ellsworth BS, Peréz Millan MI, et al. Curr Top Dev Biol. 2013;106:1–47. - PMC - PubMed
    1. Pituitary stalk interruption syndrome (PSIS): do not miss this diagnosis. Agha M, Sallam MSM, Abougabal AM, Abdelgawad MS. Egypt J Radiol Nucl Med. 2022;53:192.
    1. 17q21.31 microdeletion in a patient with pituitary stalk interruption syndrome. El Chehadeh-Djebbar S, Callier P, Masurel-Paulet A, et al. Eur J Med Genet. 2011;54:369–373. - PubMed
    1. Transection of the pituitary stalk: development of an ectopic posterior lobe assessed with MR imaging. Fujisawa I, Kikuchi K, Nishimura K, et al. Radiology. 1987;165:487–489. - PubMed
    1. Multiple hits during early embryonic development: digenic diseases and holoprosencephaly. Ming JE, Muenke M. Am J Hum Genet. 2002;71:1017–1032. - PMC - PubMed

Publication types

LinkOut - more resources