The Atypical Red Eye: A Case of Scleritis with Peripheral Ulcerative Keratitis Secondary to Granulomatosis with Polyangiitis
- PMID: 37034378
- PMCID: PMC10077138
- DOI: 10.1159/000529459
The Atypical Red Eye: A Case of Scleritis with Peripheral Ulcerative Keratitis Secondary to Granulomatosis with Polyangiitis
Abstract
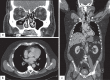
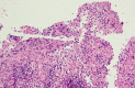
This report presents a rare case of scleritis with peripheral ulcerative keratitis secondary to granulomatosis with polyangiitis (GPA). A 65-year-old Caucasian male presented to a regional ophthalmology service with an atypical red eye. His immune work-up demonstrated positive anti-neutrophil cytoplasmic IgG autoantibodies (ANCA) with anti-proteinase 3 antibody (PR3) elevation. Multi-system vasculitis was discovered including lung, liver, bladder, prostate, nasal and paranasal sinuses involvement. His ocular sequelae included significant peripheral corneal thinning requiring cyanoacrylate gluing, juxtalimbal conjunctival resection, and bandage lens placement. He was treated with systemic methylprednisolone and rituximab achieving remission with ongoing prednisone and methotrexate maintenance therapy. This case demonstrates the importance of recognizing ocular manifestations of GPA as a first presentation of systemic vasculitis.
Keywords: Granulomatosis with polyangiitis; Peripheral ulcerative keratitis; Scleritis; Wegener’s granulomatosis.
© 2023 The Author(s). Published by S. Karger AG, Basel.
Conflict of interest statement
The authors have no conflicts of interest to declare.
Figures
References
Publication types
LinkOut - more resources
Full Text Sources
