Intrathoracic Kidney
- PMID: 37051478
- PMCID: PMC10084807
- DOI: 10.12890/2023_003788
Intrathoracic Kidney
Abstract
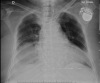
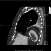
Intrathoracic kidney is a very rare finding, representing less than 5% of all renal ectopias. Because of the location of the liver, thoracic kidney on the right side is much less common than thoracic kidney on the left side. Although an increasing number of case reports are being published in the literature, few describe the impact of the ectopia on kidney function. We report the case of a woman with intrathoracic right kidney and chronic kidney disease that was initially misdiagnosed as pneumonia because of its presentation on chest x-ray. We highlight the need to including this condition in the differential diagnosis[2] as the literature rarely links it to changes in kidney function.
Learning points: Intrathoracic kidney is an extremely rare condition that should be considered in the differential diagnosis of intrathoracic masses.There is a lack of literature on this type of kidney ectopia and its consequences in asymptomatic individuals.
Keywords: Intrathoracic kidney; chronic kidney disease.
© EFIM 2023.
Conflict of interest statement
Conflicts of Interests: The Authors declare that there are no competing interests.
Figures



References
LinkOut - more resources
Full Text Sources