Skip to main page content
U.S. flag

An official website of the United States government

Dot gov

The .gov means it’s official.
Federal government websites often end in .gov or .mil. Before sharing sensitive information, make sure you’re on a federal government site.

Https

The site is secure.
The https:// ensures that you are connecting to the official website and that any information you provide is encrypted and transmitted securely.

Access keys NCBI Homepage MyNCBI Homepage Main Content Main Navigation
. 2023 Jan 20;9(2):50-52.
doi: 10.1016/j.aace.2023.01.003. eCollection 2023 Mar-Apr.

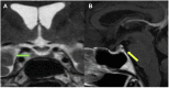
Spontaneous Near-Resolution of a Rathke's Cleft Cyst

Affiliations

Spontaneous Near-Resolution of a Rathke's Cleft Cyst

Cagney Cristancho et al. AACE Clin Case Rep. .
No abstract available

PubMed Disclaimer

Conflict of interest statement

The authors have no multiplicity of interest to disclose.

Figures

Fig. 1
Fig. 1
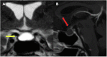
Fig. 2
Fig. 2
Fig. 3
Fig. 3

References

    1. Barkhoudarian G., Palejwala S.K., Ansari S., et al. Rathke’s cleft cysts: a 6-year experience of surgery vs. observation with comparative volumetric analysis. Pituitary. 2019;22(4):362–371. - PubMed
    1. Altuwaijri N., Cote D.J., Lamba N., et al. Headache resolution after Rathke cleft cyst resection: a meta-analysis. World Neurosurg. 2018;111:e764–e772. - PubMed
    1. Truong L.U.F., Bazin C., Gomis P., Decoudier B., Delemer B., Litré C.F. Surgery versus conservative care for Rathke’s cleft cyst. Neurochirurgie. 2021;67(2):104–111. - PubMed

LinkOut - more resources