Value of D-Dimer in Risk Stratification for Thromboembolism in Patients With Atrial Fibrillation and Low CHA2DS2-VASc Score
- PMID: 37073479
- PMCID: PMC10123902
- DOI: 10.1177/23247096231165740
Value of D-Dimer in Risk Stratification for Thromboembolism in Patients With Atrial Fibrillation and Low CHA2DS2-VASc Score
Abstract
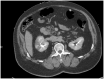
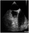
Atrial fibrillation (AF) can cause thrombi formation and subsequent emboli deposition in systemic arteries, leading to various organ ischemia and infarction. Anticoagulation therapy can reduce the risk of thrombus formation and embolization, and is initiated based on a patient's risk score, which is frequently estimated with the CHA2DS2-VASc score. We present a case of thromboembolism (TE) where a low CHA2DS2-VASc score suggested a low-moderate risk of systemic embolization, but an elevated plasma D-dimer value prompted further investigation which revealed an intracardiac thrombus with renal embolism. The patient is a 63-year-old male with past medical history of hypertension and AF treated with ablation 2 years prior presenting with sharp right flank pain of 5-hour duration. Primary workup and imaging were unrevealing at the time, and a low CHA2DS2-VASc score was suggestive of aspirin therapy. However, an elevated D-dimer of 289 ng/mL and a transient increase in creatinine pointed to possible etiology of embolic origin. The diagnosis was confirmed with computed tomography (CT) with contrast and transesophageal echocardiogram, revealing renal infarcts and the source of the emboli, respectively. The patient was treated with heparin and transitioned to apixaban prior to discharge with full resolution of symptoms. Through this case, we wish to show D-dimer's predictive value of TE, as well as its potential benefit in risk assessment in patients with AF.
Keywords: CHA2DS2-VASc; D-dimer; atrial fibrillation; cardiology; risk assessment; thromboembolism.
Conflict of interest statement
The author(s) declared no potential conflicts of interest with respect to the research, authorship, and/or publication of this article.
Figures


References
-
- Argiris A.Splenic and renal infarctions complicating atrial fibrillation. Mt Sinai J Med. 1997;64(4-5):342-349. - PubMed
-
- Frost L, Engholm G, Johnsen S, et al.. Incident thromboembolism in the aorta and the renal, mesenteric, pelvic, and extremity arteries after discharge from the hospital with a diagnosis of atrial fibrillation. Arch Intern Med. 2001;161(2):272-276. - PubMed
-
- Merims D, Zilberman D, Lupu L, et al.. [Embolic splenic infarction: a rare complication of atrial fibrillation]. Harefuah. 1997;132(12):844-846, 911. - PubMed
Publication types
MeSH terms
Substances
LinkOut - more resources
Full Text Sources
Medical
Miscellaneous