Venous anomalies and thromboembolism
- PMID: 37081466
- PMCID: PMC10116765
- DOI: 10.1186/s12959-023-00484-5
Venous anomalies and thromboembolism
Abstract
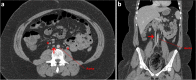
Patients with venous anomalies are at increased risk of developing venous thromboembolism (VTE) and subsequent complications, but they are often under-recognised. While unprovoked VTE may trigger testing for inherited thrombophilias and malignancy screening, anatomic variants are considered less often. Venous anomalies increase the risk due to venous flow disturbance, resulting in hypertension, reduced flow velocity and turbulence. Recognition is important as endovascular or surgical intervention may be appropriate, these patients have a high rate of VTE recurrence if anticoagulation is ceased, and the anomalies can predispose to extensive VTE and severe post-thrombotic syndrome (PTS). In this case series, we present representative cases and radiological images of May-Thurner syndrome (MTS), inferior vena cava (IVC) variants and venous aneurysms, and review the available literature regarding optimal diagnosis and management in each condition.
Keywords: Anatomic variant; Aneurysm; Anticoagulation; Endovascular; IVC agenesis; May-Thurner syndrome; Venous thromboembolism.
© 2023. The Author(s).
Conflict of interest statement
JM is supported by a National Health and Medical Research Council (NHMRC) Early Career Fellowship (APP1161499).
The authors declare no competing interests.
Figures




References
-
- Anderson FA, Jr, Spencer FA. Risk factors for venous thromboembolism. Circulation. 2003;107(23 Suppl 1):I9–16. - PubMed
Publication types
LinkOut - more resources
Full Text Sources