An apicomplexan parasite drives the collapse of the bay scallop population in New York
- PMID: 37095123
- PMCID: PMC10126089
- DOI: 10.1038/s41598-023-33514-3
An apicomplexan parasite drives the collapse of the bay scallop population in New York
Abstract
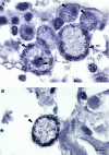
The bay scallop, Argopecten irradians, represents a commercially, culturally and ecologically important species found along the United States' Atlantic and Gulf coasts. Since 2019, scallop populations in New York have been suffering large-scale summer mortalities resulting in 90-99% reduction in biomass of adult scallops. Preliminary investigations of these mortality events showed 100% prevalence of an apicomplexan parasite infecting kidney tissues. This study was designed to provide histological, ultrastructural and molecular characteristics of a non-described parasite, member of the newly established Marosporida clade (Apicomplexa) and provisionally named BSM (Bay Scallop Marosporida). Molecular diagnostics tools (quantitative PCR, in situ hybridization) were developed and used to monitor disease development. Results showed that BSM disrupts multiple scallop tissues including kidney, adductor muscle, gill, and gonad. Microscopy observations allowed the identification of both intracellular and extracellular stages of the parasite. Field surveys demonstrated a strong seasonal signature in disease prevalence and intensity, as severe cases and mortality increase as summer progresses. These results strongly suggest that BSM infection plays a major role in the collapse of bay scallop populations in New York. In this framework, BSM may synergistically interact with stressful environmental conditions to impair the host and lead to mortality.
© 2023. The Author(s).
Conflict of interest statement
The authors declare no competing interests.
Figures











References
-
- Lafferty KD, Porter JW, Ford SE. Are diseases increasing in the ocean? Ann. Rev. Ecol. Evol. Syst. 2004;35:31–54. doi: 10.1146/annurev.ecolsys.35.021103.105704. - DOI
-
- Ford SE. Range extension by the oyster parasite Perkinsus marinus into the northeastern United States: Response to climate change? J. Shellfish Res. 1996;15:45–56.
-
- Fay, C. W., Neves, R. J. & Pardue, G. B. Species Profiles. Life Histories and Environmental Requirements of Coastal Fishes and Invertebrates (Mid-Atlantic). Bay scallop., (Virginia polytechnic institute and state university Blacksburg department of fisheries and wildlife sciences, 1983).
Publication types
MeSH terms
LinkOut - more resources
Full Text Sources