The Utility of Bronchoscopy in Hydralazine-Induced ANCA-Associated Vasculitis
- PMID: 37095760
- PMCID: PMC10122576
- DOI: 10.1155/2023/1461011
The Utility of Bronchoscopy in Hydralazine-Induced ANCA-Associated Vasculitis
Abstract
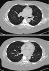
Hydralazine is a vasodilator used for the management of hypertension, heart failure, and hypertensive emergencies in pregnancy. It has been implicated in the causation of drug-induced lupus erythematosus (DLE) and rarely with ANCA-associated vasculitis (AAV), which may present as a pulmonary-renal syndrome and be rapidly fatal. Herein, we describe a case of hydralazine-associated AAV presenting as acute kidney injury with the use of early bronchoalveolar lavage (BAL) with serial aliquots to aid with diagnosis. Our case highlights how, in the correct clinical setting, BAL can act as a rapid diagnostic test to help guide quicker treatment to allow for better patient outcomes.
Copyright © 2023 Atulya Aman Khosla et al.
Conflict of interest statement
The authors declare that they have no conflicts of interest.
Figures
References
Publication types
LinkOut - more resources
Full Text Sources
