Radiation Recall Dermatitis Following Treatment With Pembrolizumab: A Case Report and Review of the Literature
- PMID: 37096743
- PMCID: PMC10134185
- DOI: 10.1177/23247096231168114
Radiation Recall Dermatitis Following Treatment With Pembrolizumab: A Case Report and Review of the Literature
Abstract
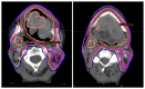
Radiation recall dermatitis is an inflammatory reaction of the skin that may infrequently occur in areas of the skin that have been previously treated with radiation therapy. This is thought to be due to a triggering agent administered after radiation therapy which leads to an acute inflammatory reaction, manifesting as a skin rash. We present the case of a 58-year-old male with recurrent invasive squamous cell carcinoma of the tongue, previously treated with chemotherapy and radiation therapy, who presented with progression of his disease. He was treated with pembrolizumab and subsequently developed a new-onset facial rash over the previously treated radiation field. The distribution of the rash was suggestive of radiation recall dermatitis. A biopsy showed dermal necrosis without evidence of dermatitis, vasculitis, or infectious process. This case highlights the incidence of a rare complication of immune checkpoint inhibitor therapy and emphasizes the need for careful monitoring for radiation recall dermatitis.
Keywords: dermatology; hematology oncology; radiology / imaging.
Conflict of interest statement
The author(s) declared no potential conflicts of interest with respect to the research, authorship, and/or publication of this article.
Figures




References
Publication types
MeSH terms
Substances
LinkOut - more resources
Full Text Sources
Medical