Skip to main page content
U.S. flag

An official website of the United States government

Dot gov

The .gov means it’s official.
Federal government websites often end in .gov or .mil. Before sharing sensitive information, make sure you’re on a federal government site.

Https

The site is secure.
The https:// ensures that you are connecting to the official website and that any information you provide is encrypted and transmitted securely.

Access keys NCBI Homepage MyNCBI Homepage Main Content Main Navigation
Case Reports
. 2023 Apr 7:47:101176.
doi: 10.1016/j.gore.2023.101176. eCollection 2023 Jun.

Primary peritoneal serous psammocarcinoma, rare variant: A case report

Affiliations
Case Reports

Primary peritoneal serous psammocarcinoma, rare variant: A case report

Srujan Kancharla et al. Gynecol Oncol Rep. .

Abstract

Psammocarcinoma is a rare form of serous carcinoma of the ovary or peritoneum characterized by extensive psammoma body formation seen on histology. A 49-year-old obese woman, gravida 1 para 1 with poorly controlled type 2 diabetes, presented with a history of menorrhagia. She was diagnosed with both leiomyomata and simple endometrial hyperplasia without atypia in the office. Consultation with gynecological oncology and primary gynecologist resulted in a planned hysterectomy with bilateral salpingo-oophorectomy. Laparoscopic hysterectomy and bilateral salpingo-oophorectomy were performed by primary gynecologist. Intraoperative survey of pelvis found concerning nodular lesions seen in posterior cul-de-sac. Lesions were excised and sent for frozen section. Pathology showed invasive peritoneal epithelial implant with psammomatous calcifications. Gynecological oncologist stand-by was called in and proceeded with surgical debulking and staging procedure. Post operatively, the patient has been diagnosed with primary peritoneal low grade serous psammomacarcinoma stage III A2. Her case has been presented to tumor board for multidisciplinary management and is now undergoing adjuvant hormonal therapy utilizing letrozole with chest, abdomen, and pelvic CT scans every 6 months. Standardized protocols are hindered by the rarity of this tumor. Benefits for this oncologic diagnosis are not clearly understood due to the rarity of this tumor. The significance of this case presentation is to highlight the multidisciplinary approach to the workup, diagnosis, treatment (both surgical and medical) and follow up of a rare gynecologic oncologic case. While the surgical team was expecting to find at most significant pathology, an endometrial carcinoma, a rarer primary peritoneal carcinoma was found. Due to the pre surgical planning, and intraoperative teamwork of the pathology, gynecology and oncology teams, this patient received the individualized and disease specific needed surgical and medical care warranted by her unique diagnosis.

Keywords: Insulin dependent Type 2 Diabetes Mellitus; Ovarian cancer; Primary peritoneal; Psammocarcinoma.

PubMed Disclaimer

Conflict of interest statement

The authors declare that they have no known competing financial interests or personal relationships that could have appeared to influence the work reported in this paper.

Figures

Fig. 1
Fig. 1
Nodular Excresences in the Posterior cul-de-sac.
Fig. 2
Fig. 2
Nodular Excresences distributed along Pelvic Wall.
Fig. 3
Fig. 3
Additional protuberances seen along serosa of colon.
Fig. 4
Fig. 4
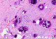
Microscopic examination (Hematoxylin and eosin staining × 40) of Psammoma body formation.
Fig. 5
Fig. 5
Closer Microscopic View (x?) of Psammoma body formation.
Fig. 6
Fig. 6
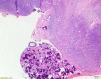
Microscopic examination (Hematoxylin and eosin staining × 40) of Psammocarcinoma - left ovary.

References

    1. Alanbay I., Dede M., Ustün Y., Karaşahin E., Deveci S., Günhan O., Yenen M.C. Serous psammocarcinoma of the ovary and peritoneum: two case reports and review of the literature. Arch. Gynecol. Obstetrics. 2009;279(6):931–936. - PubMed
    1. Chen K.T. Psammocarcinoma of the peritoneum. Diagn. Cytopathol. 1994;10(3):224–228. - PubMed
    1. Gilks C.B., Bell D.A., Scully R.E. Serous psammocarcinoma of the ovary and peritoneum. Int. J. Gynecological Pathol.: Off. J. Int. Soc. Gynecol. Pathol. 1990;9(2):110–121. - PubMed
    1. Helal I., Khanchel F., Jouini R., et al. Case Report: Fortuitous discovery of primary peritoneal psammocarcinoma. F1000 Research. 2022;11:696. - PMC - PubMed
    1. Jena S.K., Mishra P., Mohapatra V., Singh S. Bilateral Serous Psammocarcinoma of Ovary: Rare Variant Low Grade Serous Carcinoma. Case Rep. Obstetrics Gynecol. 2015;2015 - PMC - PubMed

Publication types

LinkOut - more resources