Aggressive giant cell lesion of mandible-confusing to common: true neoplasm versus reactive lesion
- PMID: 37142281
- PMCID: PMC10163411
- DOI: 10.1136/bcr-2022-253499
Aggressive giant cell lesion of mandible-confusing to common: true neoplasm versus reactive lesion
Abstract
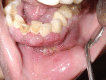
Destructive lesions in the craniofacial region especially in the jawbones, if associated with giant cells, include a spectrum of lesions that pose difficulty in diagnosis. The nature of such a lesion in the jawbones is questionable about whether it is a reactive/benign lesion or aggressive/non-aggressive. Clinical, radiological and histopathological correlation may be a reliable indicator to differentiate between the qualities of the lesion, which directly accounts for effective and individual planning of the treatment. Here we present a case of a woman in her late 20s with an unusual destructive lesion of the mandible.
Keywords: Dentistry and oral medicine; Radiology (diagnostics); Surgical diagnostic tests.
© BMJ Publishing Group Limited 2023. No commercial re-use. See rights and permissions. Published by BMJ.
Conflict of interest statement
Competing interests: None declared.
Figures








References
-
- Ranjan V, Chakrabarty S, Arora P, et al. . Classifying giant cell lesions: a review. J Indian Acad Oral Med Radiol 2018;30:297. 10.4103/jiaomr.jiaomr_81_18 - DOI
Publication types
MeSH terms
LinkOut - more resources
Full Text Sources
Medical